中国 EN 400-660-9091

联系我们

电话:18013895086

电话:025-68037686

地址:江苏生命科技创新园F6幢1层

订购:nanjing03@biogot.com

服务:biorase01@biogot.com

合作:lvyun@biogot.com

支持:may@biogot.com

CD33 monoclonal antibody

货号: MB23520
价格 1200
货期 现货(1-2个工作日)
25ug 50ug 100ug 200ug
No. :MB23520
Product Name :CD33 monoclonal antibody
Swiss-Prot :P20138
Host :Mouse
Reactivity :Human
Applications :WB,IHC,FCM
Application_all :WB:1/500 - 1/2000 IHC:1/200 - 1/1000 FC:1/200 - 1/400
Background :The protein encoded by this gene belongs to putative adhesion molecule of myelomonocytic-derived cells that mediates sialic-acid dependent binding to cells. Preferentially binds to alpha-2,6-linked sialic acid. The sialic acid recognition site may be masked by cis interactions with sialic acids on the same cell surface. In the immune response, may act as an inhibitory receptor upon ligand induced tyrosine phosphorylation by recruiting cytoplasmic phosphatase(s) via their SH2 domain(s) that block signal transduction through dephosphorylation of signaling molecules. Induces apoptosis in acute myeloid leukemia (in vitro) and CD33 plays potential key roles in the pathogenesis of Alzheimer's disease (AD)
Product :Purified antibody in PBS with 0.05% sodium azide
Purification&Purity :The antibody was affinity-purified from mouse ascites by affinity-chromatography using epitope-specific immunogen and the purity is > 95% (by SDS-PAGE).
Storage&Stability :Store at 4°C short term. Aliquot and store at -20°C long term. Avoid freeze-thaw cycles.
Specificity :Mouse IgG1
BiowMW :39.8kDa
Note :For research use only, not for use in diagnostic procedure.
Alternative Name :p67; SIGLEC3; SIGLEC-3
Immunogen :Purified recombinant fragment of human CD33 (AA: 15-237) expressed in E. Coli.
Conjugate :Unconjugated
Modification :Unmodification
1上架,0下架 :1
试用装: 1是,0否 :1
限时特惠: 1是,0否 :1
Westemn blot analysis usingCDs3 mouse mAb against THP-1 (1call lysate.
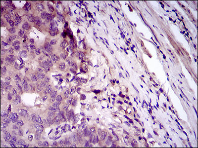
Immunohistochemical analysis of parafin-embedded esophagea cancer tssues using CD33 mouse mAb with DAB staining.

关注我们

400-660-9091

电话:18013895086

地址:江苏生命科技创新园F6幢1层

订购:nanjing03@biogot.com

服务:biorase01@biogot.com

合作:lvyun@biogot.com

支持:may@biogot.com