中国 EN 400-660-9091

联系我们

电话:18013895086

电话:025-68037686

地址:江苏生命科技创新园F6幢1层

订购:nanjing03@biogot.com

服务:biorase01@biogot.com

合作:lvyun@biogot.com

支持:may@biogot.com

WHSC2 monoclonal antibody

货号: MB23515
价格 1200
货期 现货(1-2个工作日)
25ug 50ug 100ug 200ug
No. :MB23515
Product Name :WHSC2 monoclonal antibody
Swiss-Prot :Q9H3P2
Host :Mouse
Reactivity :Human,Rat
Applications :WB,IHC,IF,FCM
Application_all :WB:1/500 - 1/2000 IHC:1/200 - 1/1000 IF:1/200 - 1/1000 FC:1/200 - 1/400
Background :This gene is expressed ubiquitously with higher levels in fetal than in adult tissues. It encodes a protein sharing 93% sequence identity with the mouse protein. Wolf-Hirschhorn syndrome (WHS) is a malformation syndrome associated with a hemizygous deletion of the distal short arm of chromosome 4. This gene is mapped to the 165 kb WHS critical region, and may play a role in the phenotype of the WHS or Pitt-Rogers-Danks syndrome. The encoded protein is found to be capable of reacting with HLA-A2-restricted and tumor-specific cytotoxic T lymphocytes, suggesting a target for use in specific immunotherapy for a large number of cancer patients. This protein has also been shown to be a member of the NELF (negative elongation factor) protein complex that participates in the regulation of RNA polymerase II transcription elongation. <br /><br />
Product :Purified antibody in PBS with 0.05% sodium azide
Purification&Purity :The antibody was affinity-purified from mouse ascites by affinity-chromatography using epitope-specific immunogen and the purity is > 95% (by SDS-PAGE).
Storage&Stability :Store at 4°C short term. Aliquot and store at -20°C long term. Avoid freeze-thaw cycles.
Specificity :Mouse IgG2b
BiowMW :57.3kDa
Note :For research use only, not for use in diagnostic procedure.
Alternative Name :NELFA; NELF-A; P/OKcl.15
Immunogen :Purified recombinant fragment of human WHSC2 (AA: 280-511) expressed in E. Coli.
Conjugate :Unconjugated
Modification :Unmodification
1上架,0下架 :1
试用装: 1是,0否 :1
限时特惠: 1是,0否 :1
Western blot analysis usingwsC2 mouse mAb against Jurkat(1), HeLa (2), HEK293 (3), 4549 (51SPC-A-1 (6) cell lysate, and Rat brain4) fissue lysate.
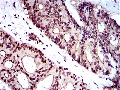
Immunohistochemical analysis of oaraffn-embedded colon cancer tissues using WHSC2 mouse mAb with DAB staining
Immunofluorescence analysis of Hela calls using WHSC2 mouse mAb (green). Blue: DAA05 fuorescentDNA dye.
Fow cytometric analysis ofHEK293 cells using WHSC2 mouse mAb (green) and negative contro(purple).

关注我们

400-660-9091

电话:18013895086

地址:江苏生命科技创新园F6幢1层

订购:nanjing03@biogot.com

服务:biorase01@biogot.com

合作:lvyun@biogot.com

支持:may@biogot.com