中国 EN 400-660-9091

联系我们

电话:18013895086

电话:025-68037686

地址:江苏生命科技创新园F6幢1层

订购:nanjing03@biogot.com

服务:biorase01@biogot.com

合作:lvyun@biogot.com

支持:may@biogot.com

RPL18A monoclonal antibody

货号: MB23513
价格 1200
货期 现货(1-2个工作日)
25ug 50ug 100ug 200ug
No. :MB23513
Product Name :RPL18A monoclonal antibody
Swiss-Prot :Q02543
Host :Mouse
Reactivity :Human,Mouse
Applications :WB,IHC
Application_all :WB:1/500 - 1/2000 IHC:1/200 - 1/1000
Background :Ribosomes, the organelles that catalyze protein synthesis, consist of a small 40S subunit and a large 60S subunit. Together these subunits are composed of 4 RNA species and approximately 80 structurally distinct proteins. This gene encodes a member of the L18AE family of ribosomal proteins that is a component of the 60S subunit. The encoded protein may play a role in viral replication by interacting with the hepatitis C virus internal ribosome entry site (IRES). This gene is co-transcribed with the U68 snoRNA, located within the third intron. As is typical for genes encoding ribosomal proteins, there are multiple processed pseudogenes of this gene dispersed throughout the genome.<br />
Product :Purified antibody in PBS with 0.05% sodium azide
Purification&Purity :The antibody was affinity-purified from mouse ascites by affinity-chromatography using epitope-specific immunogen and the purity is > 95% (by SDS-PAGE).
Storage&Stability :Store at 4°C short term. Aliquot and store at -20°C long term. Avoid freeze-thaw cycles.
Specificity :Mouse IgG1
BiowMW :20.8kDa
Note :For research use only, not for use in diagnostic procedure.
Alternative Name :L18A
Immunogen :Purified recombinant fragment of human RPL18A (AA: 50-176) expressed in E. Coli.
Conjugate :Unconjugated
Modification :Unmodification
1上架,0下架 :1
试用装: 1是,0否 :1
限时特惠: 1是,0否 :1
Western blot analysis usingRPL18A mouse mAb against NIH3T3(1), HEK293 (2), HL60 (3), Jurkat (4)Raji (5), MOLT4 (6), and HeLa (7) celllysate.
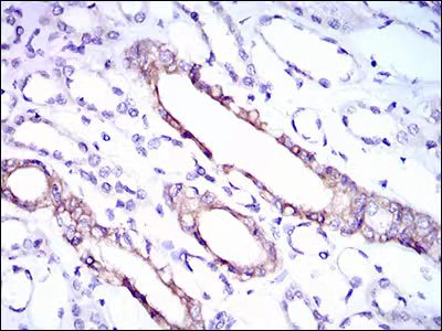
lmmunohistochemical analysis of paraffin-embedded kidney tissues using RPL18A mouse mAbwith DAB staining

关注我们

400-660-9091

电话:18013895086

地址:江苏生命科技创新园F6幢1层

订购:nanjing03@biogot.com

服务:biorase01@biogot.com

合作:lvyun@biogot.com

支持:may@biogot.com