中国 EN 400-660-9091

联系我们

电话:18013895086

电话:025-68037686

地址:江苏生命科技创新园F6幢1层

订购:nanjing03@biogot.com

服务:biorase01@biogot.com

合作:lvyun@biogot.com

支持:may@biogot.com

SLC27A5 monoclonal antibody

货号: MB23498
价格 1200
货期 现货(1-2个工作日)
25ug 50ug 100ug 200ug
No. :MB23498
Product Name :SLC27A5 monoclonal antibody
Swiss-Prot :Q9Y2P5
Host :Mouse
Reactivity :Human,Mouse
Applications :WB,IHC
Application_all :IHC:1/200 - 1/1000
Background :The protein encoded by this gene is an isozyme of very long-chain acyl-CoA synthetase (VLCS). It is capable of activating very long-chain fatty-acids containing 24- and 26-carbons. It is expressed in liver and associated with endoplasmic reticulum but not with peroxisomes. Its primary role is in fatty acid elongation or complex lipid synthesis rather than in degradation. This gene has a mouse ortholog. <br /><br />
Product :Purified antibody in PBS with 0.05% sodium azide
Purification&Purity :The antibody was affinity-purified from mouse ascites by affinity-chromatography using epitope-specific immunogen and the purity is > 95% (by SDS-PAGE).
Storage&Stability :Store at 4°C short term. Aliquot and store at -20°C long term. Avoid freeze-thaw cycles.
Specificity :Mouse IgG1
BiowMW :75.4kDa
Note :For research use only, not for use in diagnostic procedure.
Alternative Name :BAL; ACSB; BACS; FATP5; ACSVL6; FACVL3; FATP-5; VLACSR; VLCSH2; VLCS-H2
Immunogen :Purified recombinant fragment of human SLC27A5 (AA: 508-570) expressed in E. Coli.
Conjugate :Unconjugated
Modification :Unmodification
1上架,0下架 :1
试用装: 1是,0否 :1
限时特惠: 1是,0否 :1
Western blot analysis using SLC27A5 mouse mAb against 3T3L1 (1) and NIH3T3 (2) cell lysate.
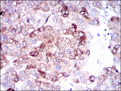
Immunohistochemical analysis of paraffin-embedded human liver cancer tissues using SLC27A5 mouse mAb with DAB staining.

关注我们

400-660-9091

电话:18013895086

地址:江苏生命科技创新园F6幢1层

订购:nanjing03@biogot.com

服务:biorase01@biogot.com

合作:lvyun@biogot.com

支持:may@biogot.com