中国 EN 400-660-9091

联系我们

电话:18013895086

电话:025-68037686

地址:江苏生命科技创新园F6幢1层

订购:nanjing03@biogot.com

服务:biorase01@biogot.com

合作:lvyun@biogot.com

支持:may@biogot.com

HNF1B monoclonal antibody

货号: MB23420
价格 1200
货期 现货(1-2个工作日)
25ug 50ug 100ug 200ug
No. :MB23420
Product Name :HNF1B monoclonal antibody
Swiss-Prot :P35680
Host :Mouse
Reactivity :Human, Mouse, Rat
Applications :WB,IHC,IF,FCM
Application_all :WB:1/500 - 1/2000 IHC:1/200 - 1/1000 IF:1/50 - 1/200 FC:1/200 - 1/400
Background :This gene encodes a member of the homeodomain-containing superfamily of transcription factors. The protein binds to DNA as either a homodimer, or a heterodimer with the related protein hepatocyte nuclear factor 1-alpha. The gene has been shown to function in nephron development, and regulates development of the embryonic pancreas. Mutations in this gene result in renal cysts and diabetes syndrome and noninsulin-dependent diabetes mellitus, and expression of this gene is altered in some types of cancer. Multiple transcript variants encoding different isoforms have been found for this gene.
Product :Purified antibody in PBS with 0.05% sodium azide
Purification&Purity :The antibody was affinity-purified from mouse ascites by affinity-chromatography using epitope-specific immunogen and the purity is > 95% (by SDS-PAGE).
Storage&Stability :Store at 4°C short term. Aliquot and store at -20°C long term. Avoid freeze-thaw cycles.
Specificity :Mouse IgG2a
BiowMW :61.3kDa
Note :For research use only, not for use in diagnostic procedure.
Alternative Name :T2D; FJHN; HNF2; LFB3; RCAD; TCF2; HPC11; LF-B3; MODY5; TCF-2; VHNF1; ADTKD3; HNF-1B; HNF1beta; HNF-1-beta
Immunogen :Purified recombinant fragment of human HNF1B (AA: 23-132) expressed in E. Coli.
Conjugate :Unconjugated
Modification :Unmodification
1上架,0下架 :1
试用装: 1是,0否 :1
限时特惠: 1是,0否 :1
Western blot analysis using HNF1B mouse mAb against Hela (1) cell lysate.
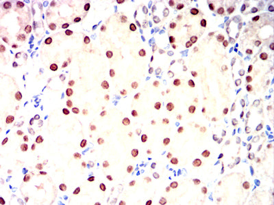
Immunohistochemical analysis of paraffin-embedded rat kidney tissues using HNF1B mouse mAb with DAB staining.
Immunofluorescence analysis of Hela cells using HNF1B mouse mAb (green). Blue: DRAQ5 fluorescent DNA dye. Red: Actin filaments have been labeled with Alexa Fluor- 555 phalloidin. Secondary antibody from Fisher (Cat#: 35503)
Flow cytometric analysis of PC-3 cells using HNF1B mouse mAb (green) and negative control (red).

关注我们

400-660-9091

电话:18013895086

地址:江苏生命科技创新园F6幢1层

订购:nanjing03@biogot.com

服务:biorase01@biogot.com

合作:lvyun@biogot.com

支持:may@biogot.com