中国 EN 400-660-9091

联系我们

电话:18013895086

电话:025-68037686

地址:江苏生命科技创新园F6幢1层

订购:nanjing03@biogot.com

服务:biorase01@biogot.com

合作:lvyun@biogot.com

支持:may@biogot.com

ULK3 monoclonal antibody

货号: MB23418
价格 1200
货期 现货(1-2个工作日)
25ug 50ug 100ug 200ug
No. :MB23418
Product Name :ULK3 monoclonal antibody
Swiss-Prot :Q6PHR2
Host :Mouse
Reactivity :Human, Rat
Applications :WB,IHC,IF,FCM
Application_all :WB:1/500 - 1/2000 IHC:1/200 - 1/1000 IF:1/50 - 1/200 FC:1/200 - 1/400
Background :Enables protein serine/threonine kinase activity. Involved in several processes, including fibroblast activation; protein autophosphorylation; and regulation of smoothened signaling pathway. Located in cytoplasm.
Product :Purified antibody in PBS with 0.05% sodium azide
Purification&Purity :The antibody was affinity-purified from mouse ascites by affinity-chromatography using epitope-specific immunogen and the purity is > 95% (by SDS-PAGE).
Storage&Stability :Store at 4°C short term. Aliquot and store at -20°C long term. Avoid freeze-thaw cycles.
Specificity :Mouse IgG1
BiowMW :53.4kDa
Note :For research use only, not for use in diagnostic procedure.
Immunogen :Purified recombinant fragment of human ULK3 expressed in E. Coli.
Conjugate :Unconjugated
Modification :Unmodification
1上架,0下架 :1
试用装: 1是,0否 :1
限时特惠: 1是,0否 :1
Western blot analysis using ULK3 mouse mAb against rat testis (1), PC-3 (2), DU145 (3),HEK293 (4),LNCAP (5)and Hela (6) cell lysate.
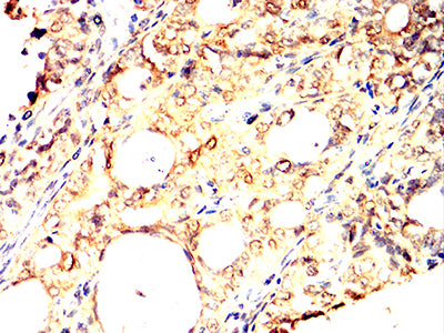
Immunohistochemical analysis of paraffin-embedded human cervical cancer tissues using ULK3 mouse mAb with DAB staining.
Immunofluorescence analysis of Hela cells using ULK3 mouse mAb (green). Blue: DRAQ5 fluorescent DNA dye. Red: Actin filaments have been labeled with Alexa Fluor- 555 phalloidin. Secondary antibody from Fisher (Cat#: 35503)
Flow cytometric analysis of HEK293 cells using ULK3 mouse mAb (green) and negative control (red).

关注我们

400-660-9091

电话:18013895086

地址:江苏生命科技创新园F6幢1层

订购:nanjing03@biogot.com

服务:biorase01@biogot.com

合作:lvyun@biogot.com

支持:may@biogot.com