中国 EN 400-660-9091

联系我们

电话:18013895086

电话:025-68037686

地址:江苏生命科技创新园F6幢1层

订购:nanjing03@biogot.com

服务:biorase01@biogot.com

合作:lvyun@biogot.com

支持:may@biogot.com

MAP4K1 monoclonal antibody

货号: MB23393
价格 1200
货期 现货(1-2个工作日)
25ug 50ug 100ug 200ug
No. :MB23393
Product Name :MAP4K1 monoclonal antibody
Swiss-Prot :Q92918
Host :Mouse
Reactivity :Human, Mouse, Monkey, Rat
Applications :WB,IHC,FCM
Application_all :WB:1/500 - 1/2000 IHC:1/200 - 1/1000 FC:1/200 - 1/400
Background :MAP4K1 (Mitogen-Activated Protein Kinase Kinase Kinase Kinase 1) is a Protein Coding gene. Among its related pathways are Angiopoietin Like Protein 8 Regulatory Pathway and B cell receptor signaling pathway (KEGG). Gene Ontology (GO) annotations related to this gene include transferase activity, transferring phosphorus-containing groups and protein tyrosine kinase activity. An important paralog of this gene is MAP4K3.
Product :Purified antibody in PBS with 0.05% sodium azide
Purification&Purity :The antibody was affinity-purified from mouse ascites by affinity-chromatography using epitope-specific immunogen and the purity is > 95% (by SDS-PAGE).
Storage&Stability :Store at 4°C short term. Aliquot and store at -20°C long term. Avoid freeze-thaw cycles.
Specificity :Mouse IgG1
BiowMW :91.3kDa
Note :For research use only, not for use in diagnostic procedure.
Alternative Name :HPK1
Immunogen :Purified recombinant fragment of human MAP4K1 (AA:278-477) expressed in mammalian.
Conjugate :Unconjugated
Modification :Unmodification
1上架,0下架 :1
试用装: 1是,0否 :1
限时特惠: 1是,0否 :1
Western blot analysis using MAP4K1 mouse mAb against Jurkat (1), A549 (2), mouse kidney (3),COS7 (4),C6 (5) and NIH/3T3 (6) cell lysate.
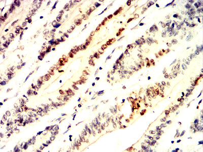
Immunohistochemical analysis of paraffin-embedded human colon cancer tissues using MAP4K1 mouse mAb with DAB staining.

关注我们

400-660-9091

电话:18013895086

地址:江苏生命科技创新园F6幢1层

订购:nanjing03@biogot.com

服务:biorase01@biogot.com

合作:lvyun@biogot.com

支持:may@biogot.com