中国 EN 400-660-9091

联系我们

电话:18013895086

电话:025-68037686

地址:江苏生命科技创新园F6幢1层

订购:nanjing03@biogot.com

服务:biorase01@biogot.com

合作:lvyun@biogot.com

支持:may@biogot.com

TSPAN16 monoclonal antibody

货号: MB23274
价格 1200
货期 现货(1-2个工作日)
25ug 50ug 100ug 200ug
No. :MB23274
Product Name :TSPAN16 monoclonal antibody
Swiss-Prot :Q9UKR8
Host :Mouse
Reactivity :Human, Mouse, Rat, Monkey
Applications :WB,IHC,FCM
Application_all :WB:1/500 - 1/2000 IHC:1/200 - 1/1000 FC:1/200 - 1/400
Background :The protein encoded by this gene is a member of the transmembrane 4 superfamily, also known as the tetraspanin family. Most of these members are cell-surface proteins that are characterized by the presence of four hydrophobic domains. The proteins mediate signal transduction events that play a role in the regulation of cell development, activation, growth and motility. This encoded protein might couple to signal transduction pathways and possibly modulate cellular activation and adhesion in haemopoietic and neural tissue. Several transcript variants encoding different isoforms have been found for this gene.</p>
Product :Purified antibody in PBS with 0.05% sodium azide
Purification&Purity :The antibody was affinity-purified from mouse ascites by affinity-chromatography using epitope-specific immunogen and the purity is > 95% (by SDS-PAGE).
Storage&Stability :Store at 4°C short term. Aliquot and store at -20°C long term. Avoid freeze-thaw cycles.
Specificity :Mouse IgG1
BiowMW :26.2kDa
Note :For research use only, not for use in diagnostic procedure.
Alternative Name :TM-8; TM4-B; TM4SF16
Immunogen :Purified recombinant fragment of human TSPAN16 (AA: 116-245) expressed in E. Coli.
Conjugate :Unconjugated
Modification :Unmodification
1上架,0下架 :1
试用装: 1是,0否 :1
限时特惠: 1是,0否 :1
Western blot analysis using TSPAN16 mouse mAb against Raji (1), HL-60 (2), Hela (3), A549 (4), THP-1 (5), Mouse liver (6), C6 (7), COS7 (8) and Jurkat (9) cell lysate.
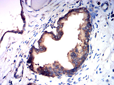
Immunohistochemical analysis of paraffin-embedded human prostate cancer tissues using TSPAN16 mouse mAb with DAB staining.

关注我们

400-660-9091

电话:18013895086

地址:江苏生命科技创新园F6幢1层

订购:nanjing03@biogot.com

服务:biorase01@biogot.com

合作:lvyun@biogot.com

支持:may@biogot.com