中国 EN 400-660-9091

联系我们

电话:18013895086

电话:025-68037686

地址:江苏生命科技创新园F6幢1层

订购:nanjing03@biogot.com

服务:biorase01@biogot.com

合作:lvyun@biogot.com

支持:may@biogot.com

CD126 monoclonal antibody

货号: MB23264
价格 1200
货期 现货(1-2个工作日)
25ug 50ug 100ug 200ug
No. :MB23264
Product Name :CD126 monoclonal antibody
Swiss-Prot :P08887
Host :Mouse
Reactivity :Human, Mouse
Applications :WB,IHC,IF,FCM
Application_all :WB:1/500 - 1/2000 IHC:1/200 - 1/1000 IF:1/200 - 1/1000 FC:1/200 - 1/400
Background :This gene encodes a subunit of the interleukin 6 (IL6) receptor complex. Interleukin 6 is a potent pleiotropic cytokine that regulates cell growth and differentiation and plays an important role in the immune response. The IL6 receptor is a protein complex consisting of this protein and interleukin 6 signal transducer (IL6ST/GP130/IL6-beta), a receptor subunit also shared by many other cytokines. Dysregulated production of IL6 and this receptor are implicated in the pathogenesis of many diseases, such as multiple myeloma, autoimmune diseases and prostate cancer. Alternatively spliced transcript variants encoding distinct isoforms have been identified in this gene. A pseudogene of this gene is found on chromosome 9. [provided by RefSeq, Aug 2020]</p>
Product :Purified antibody in PBS with 0.05% sodium azide
Purification&Purity :The antibody was affinity-purified from mouse ascites by affinity-chromatography using epitope-specific immunogen and the purity is > 95% (by SDS-PAGE).
Storage&Stability :Store at 4°C short term. Aliquot and store at -20°C long term. Avoid freeze-thaw cycles.
Specificity :Mouse IgG1
BiowMW :52kDa
Note :For research use only, not for use in diagnostic procedure.
Alternative Name :IL6Q; gp80; CD126; HIES5; IL-6R; IL6RA; IL6RQ; IL-1Ra; IL-6RA; IL6QTL; IL-6R-1
Immunogen :Purified recombinant fragment of human CD126 (AA: EXTRA 20-177) expressed in E. Coli.
Conjugate :Unconjugated
Modification :Unmodification
1上架,0下架 :1
试用装: 1是,0否 :1
限时特惠: 1是,0否 :1
Western blot analysis using CD126 mouse mAb against Jurkat (1), MOLT4 (2), Raw264.7 (3)and THP-1 (4) cell lysate.
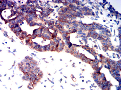
Immunohistochemical analysis of paraffin-embedded human ovarian cancer tissues using CD126 mouse mAb with DAB staining.
Immunofluorescence analysis of Hela cells using CD126 mouse mAb (green). Blue: DRAQ5 fluorescent DNA dye. Red: Actin filaments have been labeled with Alexa Fluor- 555 phalloidin. Secondary antibody from Fisher (Cat#: 35503)
Flow cytometric analysis of Jurkat cells using CD126 mouse mAb (green) and negative control (red).

关注我们

400-660-9091

电话:18013895086

地址:江苏生命科技创新园F6幢1层

订购:nanjing03@biogot.com

服务:biorase01@biogot.com

合作:lvyun@biogot.com

支持:may@biogot.com