中国 EN 400-660-9091

联系我们

电话:18013895086

电话:025-68037686

地址:江苏生命科技创新园F6幢1层

订购:nanjing03@biogot.com

服务:biorase01@biogot.com

合作:lvyun@biogot.com

支持:may@biogot.com

TUBB1 monoclonal antibody

货号: MB23199
价格 1200
货期 现货(1-2个工作日)
25ug 50ug 100ug 200ug
No. :MB23199
Product Name :TUBB1 monoclonal antibody
Swiss-Prot :P07437
Host :Mouse
Reactivity :Human, Mouse, Monkey
Applications :WB,IHC,IF,FCM
Application_all :WB:1/1000 - 1/2000 IHC:1/200 - 1/1000 IF:1/200 - 1/1000 FC:1/200 - 1/400
Background :This gene encodes a member of the beta tubulin protein family. Beta tubulins are one of two core protein families (alpha and beta tubulins) that heterodimerize and assemble to form microtubules. This protein is specifically expressed in platelets and megakaryocytes and may be involved in proplatelet production and platelet release. A mutations in this gene is associated with autosomal dominant macrothrombocytopenia. Two pseudogenes of this gene are found on chromosome Y.</p>
Product :Purified antibody in PBS with 0.05% sodium azide
Purification&Purity :The antibody was affinity-purified from mouse ascites by affinity-chromatography using epitope-specific immunogen and the purity is > 95% (by SDS-PAGE).
Storage&Stability :Store at 4°C short term. Aliquot and store at -20°C long term. Avoid freeze-thaw cycles.
Specificity :Mouse IgG1
BiowMW :50.3kDa
Note :For research use only, not for use in diagnostic procedure.
Alternative Name :M40; TUBB1; TUBB5; CDCBM6; CSCSC1; OK/SW-cl.56
Immunogen :Purified recombinant fragment of human TUBB1 (AA: 1-444) expressed in E. Coli.
Conjugate :Unconjugated
Modification :Unmodification
1上架,0下架 :1
试用装: 1是,0否 :1
限时特惠: 1是,0否 :1
Western blot analysis using TUBB1 mouse mAb against K562 (1), HepG2 (2), A431 (3), Jurkat (4), Hela (5), NIH/3T3 (6), and COS-7 (7) cell lysate.
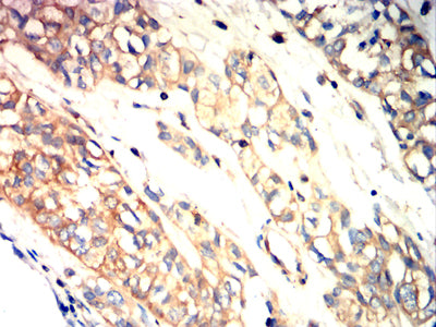
Immunohistochemical analysis of paraffin-embedded human bladder cancer tissues using TUBB1 mouse mAb with DAB staining.
Immunofluorescence analysis of Hela cells using TUBB1 mouse mAb (green). Blue: DRAQ5 fluorescent DNA dye. Red: Actin filaments have been labeled with Alexa Fluor- 555 phalloidin. Secondary antibody from Fisher (Cat#: 35503)
Flow cytometric analysis of Hela cells using TUBB1 mouse mAb (green) and negative control (red).

关注我们

400-660-9091

电话:18013895086

地址:江苏生命科技创新园F6幢1层

订购:nanjing03@biogot.com

服务:biorase01@biogot.com

合作:lvyun@biogot.com

支持:may@biogot.com