中国 EN 400-660-9091

联系我们

电话:18013895086

电话:025-68037686

地址:江苏生命科技创新园F6幢1层

订购:nanjing03@biogot.com

服务:biorase01@biogot.com

合作:lvyun@biogot.com

支持:may@biogot.com

BRAF monoclonal antibody

货号: MB23174
价格 1200
货期 现货(1-2个工作日)
25ug 50ug 100ug 200ug
No. :MB23174
Product Name :BRAF monoclonal antibody
Swiss-Prot :P15056
Host :Mouse
Reactivity :Human, Mouse, Monkey
Applications :WB,IHC,FCM
Application_all :WB:1/500 - 1/2000 IHC:1/200 - 1/1000 FC:1/200 - 1/400
Background :This gene encodes a protein belonging to the RAF family of serine/threonine protein kinases. This protein plays a role in regulating the MAP kinase/ERK signaling pathway, which affects cell division, differentiation, and secretion. Mutations in this gene, most commonly the V600E mutation, are the most frequently identified cancer-causing mutations in melanoma, and have been identified in various other cancers as well, including non-Hodgkin lymphoma, colorectal cancer, thyroid carcinoma, non-small cell lung carcinoma, hairy cell leukemia and adenocarcinoma of lung. Mutations in this gene are also associated with cardiofaciocutaneous, Noonan, and Costello syndromes, which exhibit overlapping phenotypes. A pseudogene of this gene has been identified on the X chromosome. [provided by RefSeq, Aug 2017]</p>
Product :Purified antibody in PBS with 0.05% sodium azide
Purification&Purity :The antibody was affinity-purified from mouse ascites by affinity-chromatography using epitope-specific immunogen and the purity is > 95% (by SDS-PAGE).
Storage&Stability :Store at 4°C short term. Aliquot and store at -20°C long term. Avoid freeze-thaw cycles.
Specificity :Mouse IgG1
BiowMW :84.4kda
Note :For research use only, not for use in diagnostic procedure.
Alternative Name :NS7; B-raf; BRAF1; RAFB1; B-RAF1
Immunogen :Purified recombinant fragment of human BRAF (AA: 299-447) expressed in HEK293-6e.
Conjugate :Unconjugated
Modification :Unmodification
1上架,0下架 :1
试用装: 1是,0否 :1
限时特惠: 1是,0否 :1
Western blot analysis using BRAF mouse mAb against Hela (1), HT-29 (2), MOLT4 (3), T47D (4), HePG2 (5), NIH/3T3 (6), PC-12 (7), and COS-7 (8) cell lysate.
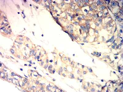
Immunohistochemical analysis of paraffin-embedded human bladder cancer tissues using BRAF mouse mAb with DAB staining.

关注我们

400-660-9091

电话:18013895086

地址:江苏生命科技创新园F6幢1层

订购:nanjing03@biogot.com

服务:biorase01@biogot.com

合作:lvyun@biogot.com

支持:may@biogot.com