中国 EN 400-660-9091

联系我们

电话:18013895086

电话:025-68037686

地址:江苏生命科技创新园F6幢1层

订购:nanjing03@biogot.com

服务:biorase01@biogot.com

合作:lvyun@biogot.com

支持:may@biogot.com

CD47 monoclonal antibody

货号: MB23067
价格 1200
货期 现货(1-2个工作日)
25ug 50ug 100ug 200ug
No. :MB23067
Product Name :CD47 monoclonal antibody
Swiss-Prot :Q08722
Host :Mouse
Reactivity :Human
Applications :WB,IHC,IF,FCM
Application_all :WB:1/500 - 1/2000 IHC:1/200 - 1/1000 IF:1/200 - 1/1000 FC:1/200 - 1/400
Background :This gene encodes a membrane protein, which is involved in the increase in intracellular calcium concentration that occurs upon cell adhesion to extracellular matrix. The encoded protein is also a receptor for the C-terminal cell binding domain of thrombospondin, and it may play a role in membrane transport and signal transduction. This gene has broad tissue distribution, and is reduced in expression on Rh erythrocytes. Alternatively spliced transcript variants have been found for this gene. [provided by RefSeq, Jul 2010]</p>
Product :Purified antibody in PBS with 0.05% sodium azide
Purification&Purity :The antibody was affinity-purified from mouse ascites by affinity-chromatography using epitope-specific immunogen and the purity is > 95% (by SDS-PAGE).
Storage&Stability :Store at 4°C short term. Aliquot and store at -20°C long term. Avoid freeze-thaw cycles.
Specificity :Mouse IgG2a
BiowMW :35.2kDa
Note :For research use only, not for use in diagnostic procedure.
Alternative Name :IAP; OA3; MER6
Immunogen :Purified recombinant fragment of human CD47 (AA: 19-141) expressed in E. Coli.
Conjugate :Unconjugated
Modification :Unmodification
1上架,0下架 :1
试用装: 1是,0否 :1
限时特惠: 1是,0否 :1
Western blot analysis using CD47 mouse mAb against Jurkat (1), MOLT4 (2), HL-60 (3), Raji (4), Ramos (5), and HEK293 (6) cell lysate.
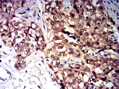
Immunohistochemical analysis of paraffin-embedded human bladder cancer tissues using CD47 mouse mAb with DAB staining.
Immunofluorescence analysis of Hela cells using CD47 mouse mAb (green). Blue: DRAQ5 fluorescent DNA dye. Red: Actin filaments have been labeled with Alexa Fluor- 555 phalloidin. Secondary antibody from Fisher (Cat#: 35503)
Flow cytometric analysis of Hela cells using CD47 mouse mAb (green) and negative control (red).

关注我们

400-660-9091

电话:18013895086

地址:江苏生命科技创新园F6幢1层

订购:nanjing03@biogot.com

服务:biorase01@biogot.com

合作:lvyun@biogot.com

支持:may@biogot.com