中国 EN 400-660-9091

联系我们

电话:18013895086

电话:025-68037686

地址:江苏生命科技创新园F6幢1层

订购:nanjing03@biogot.com

服务:biorase01@biogot.com

合作:lvyun@biogot.com

支持:may@biogot.com

KRT9 monoclonal antibody

货号: MB23053
价格 1200
货期 现货(1-2个工作日)
25ug 50ug 100ug 200ug
No. :MB23053
Product Name :KRT9 monoclonal antibody
Swiss-Prot :P35527
Host :Mouse
Reactivity :Human, Mouse, Rat
Applications :WB,IHC,FCM
Application_all :WB:1/500 - 1/2000 IHC:1/200 - 1/1000 FC:1/200 - 1/400
Background :This gene encodes the type I keratin 9, an intermediate filament chain expressed only in the terminally differentiated epidermis of palms and soles. Mutations in this gene cause epidermolytic palmoplantar keratoderma.</p>
Product :Purified antibody in PBS with 0.05% sodium azide
Purification&Purity :The antibody was affinity-purified from mouse ascites by affinity-chromatography using epitope-specific immunogen and the purity is > 95% (by SDS-PAGE).
Storage&Stability :Store at 4°C short term. Aliquot and store at -20°C long term. Avoid freeze-thaw cycles.
Specificity :Mouse IgG2b
BiowMW :62kDa
Note :For research use only, not for use in diagnostic procedure.
Alternative Name :K9; CK-9; EPPK
Immunogen :Purified recombinant fragment of human KRT9 (AA: 153-460) expressed in E. Coli.
Conjugate :Unconjugated
Modification :Unmodification
1上架,0下架 :1
试用装: 1是,0否 :1
限时特惠: 1是,0否 :1
Western blot analysis using KRT9 mouse mAb against HepG2 (1), MCF-7 (2), NIH/3T3 (3), rat heart (4), mouse heart (5), Hela (6), and HUVEC (7) cell lysate.
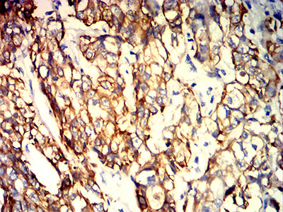
Immunohistochemical analysis of paraffin-embedded human bladder cancer tissues using KRT9 mouse mAb with DAB staining.

关注我们

400-660-9091

电话:18013895086

地址:江苏生命科技创新园F6幢1层

订购:nanjing03@biogot.com

服务:biorase01@biogot.com

合作:lvyun@biogot.com

支持:may@biogot.com