中国 EN 400-660-9091

联系我们

电话:18013895086

电话:025-68037686

地址:江苏生命科技创新园F6幢1层

订购:nanjing03@biogot.com

服务:biorase01@biogot.com

合作:lvyun@biogot.com

支持:may@biogot.com

ERCC1 monoclonal antibody

货号: MB23020
价格 1200
货期 现货(1-2个工作日)
25ug 50ug 100ug 200ug
No. :MB23020
Product Name :ERCC1 monoclonal antibody
Swiss-Prot :P07992
Host :Mouse
Reactivity :Human, Mouse
Applications :WB,IHC,FCM
Application_all :WB:1/500 - 1/2000 IHC:1/200-1/1000 FC:1/200-1/400
Background :The product of this gene functions in the nucleotide excision repair pathway, and is required for the repair of DNA lesions such as those induced by UV light or formed by electrophilic compounds including cisplatin. The encoded protein forms a heterodimer with the XPF endonuclease (also known as ERCC4), and the heterodimeric endonuclease catalyzes the 5' incision in the process of excising the DNA lesion. The heterodimeric endonuclease is also involved in recombinational DNA repair and in the repair of inter-strand crosslinks. Mutations in this gene result in cerebrooculofacioskeletal syndrome, and polymorphisms that alter expression of this gene may play a role in carcinogenesis. Multiple transcript variants encoding different isoforms have been found for this gene. The last exon of this gene overlaps with the CD3e molecule, epsilon associated protein gene on the opposite strand.</p>
Product :Purified antibody in PBS with 0.05% sodium azide
Purification&Purity :The antibody was affinity-purified from mouse ascites by affinity-chromatography using epitope-specific immunogen and the purity is > 95% (by SDS-PAGE).
Storage&Stability :Store at 4°C short term. Aliquot and store at -20°C long term. Avoid freeze-thaw cycles.
Specificity :Mouse IgG1
BiowMW :32.5kDa
Note :For research use only, not for use in diagnostic procedure.
Alternative Name :UV20; COFS4; RAD10
Immunogen :Purified recombinant fragment of human ERCC1 (AA: 1-297) expressed in E. Coli.
Conjugate :Unconjugated
Modification :Unmodification
1上架,0下架 :1
试用装: 1是,0否 :1
限时特惠: 1是,0否 :1
Western blot analysis using ERCC1 mouse mAb against NIH/3T3 (1), MCF-7 (2), Hela (3), SK-Br-3 (4), HepG2 (5), Raji (6), PC-3 (7), and K562 (8) cell lysate.
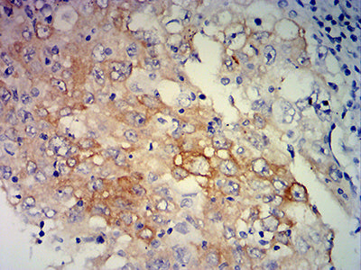
Immunohistochemical analysis of paraffin-embedded human lung cancer tissues using ERCC1 mouse mAb with DAB staining.

关注我们

400-660-9091

电话:18013895086

地址:江苏生命科技创新园F6幢1层

订购:nanjing03@biogot.com

服务:biorase01@biogot.com

合作:lvyun@biogot.com

支持:may@biogot.com