中国 EN 400-660-9091

联系我们

电话:18013895086

电话:025-68037686

地址:江苏生命科技创新园F6幢1层

订购:nanjing03@biogot.com

服务:biorase01@biogot.com

合作:lvyun@biogot.com

支持:may@biogot.com

ACTA2 monoclonal antibody

货号: MB22904
价格 1200
货期 现货(1-2个工作日)
25ug 50ug 100ug 200ug
No. :MB22904
Product Name :ACTA2 monoclonal antibody
Swiss-Prot :P62736
Host :Mouse
Reactivity :Human, Mouse, Rat
Applications :WB,IHC,FCM
Application_all :WB:1/500 - 1/2000 IHC:1/200-1/1000 FC:1/200-1/400
Background :This gene encodes one of six different actin proteins. Actins are highly conserved proteins that are involved in cell motility, structure, integrity, and intercellular signaling. The encoded protein is a smooth muscle actin that is involved in vascular contractility and blood pressure homeostasis. Mutations in this gene cause a variety of vascular diseases, such as thoracic aortic disease, coronary artery disease, stroke, and Moyamoya disease, as well as multisystemic smooth muscle dysfunction syndrome.</p>
Product :Purified antibody in PBS with 0.05% sodium azide
Purification&Purity :The antibody was affinity-purified from mouse ascites by affinity-chromatography using epitope-specific immunogen and the purity is > 95% (by SDS-PAGE).
Storage&Stability :Store at 4°C short term. Aliquot and store at -20°C long term. Avoid freeze-thaw cycles.
Specificity :Mouse IgG1
BiowMW :42kDa
Note :For research use only, not for use in diagnostic procedure.
Alternative Name :ACTSA;α-Smooth Muscle Actin;Alpha-actin-2;Alpha actin 2
Immunogen :Purified recombinant fragment of human ACTA2 (AA: 2-124) expressed in E. Coli.
Conjugate :Unconjugated
Modification :Unmodification
1上架,0下架 :1
试用装: 1是,0否 :1
限时特惠: 1是,0否 :1
Western blot analysis using ACTA2 mouse mAb against EC (1), HUVE-12 (2), A549 (3), NIH/3T3 (4), HL-60 (5), Hela (6), and K652 (7) cell lysate.
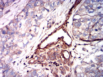
Immunohistochemical analysis of paraffin-embedded human bladder cancer tissues using ACTA2 mouse mAb with DAB staining.

关注我们

400-660-9091

电话:18013895086

地址:江苏生命科技创新园F6幢1层

订购:nanjing03@biogot.com

服务:biorase01@biogot.com

合作:lvyun@biogot.com

支持:may@biogot.com