中国 EN 400-660-9091

联系我们

电话:18013895086

电话:025-68037686

地址:江苏生命科技创新园F6幢1层

订购:nanjing03@biogot.com

服务:biorase01@biogot.com

合作:lvyun@biogot.com

支持:may@biogot.com

MSH2 monoclonal antibody

货号: MB22848
价格 1200
货期 现货(1-2个工作日)
25ug 50ug 100ug 200ug
No. :MB22848
Product Name :MSH2 monoclonal antibody
Swiss-Prot :P43246
Host :Mouse
Reactivity :Human, Mouse
Applications :WB,IHC,IF,FCM
Application_all :WB:1/500 - 1/2000 IHC:1/200 - 1/1000 IF:1/200 - 1/1000 FC:1/200 - 1/400
Background :This locus is frequently mutated in hereditary nonpolyposis colon cancer (HNPCC). When cloned, it was discovered to be a human homolog of the E. coli mismatch repair gene mutS, consistent with the characteristic alterations in microsatellite sequences (RER+ phenotype) found in HNPCC. Two transcript variants encoding different isoforms have been found for this gene.</p>
Product :Purified antibody in PBS with 0.05% sodium azide
Purification&Purity :The antibody was affinity-purified from mouse ascites by affinity-chromatography using epitope-specific immunogen and the purity is > 95% (by SDS-PAGE).
Storage&Stability :Store at 4°C short term. Aliquot and store at -20°C long term. Avoid freeze-thaw cycles.
Specificity :Mouse IgG1
BiowMW :104.7kDa
Note :For research use only, not for use in diagnostic procedure.
Alternative Name :FCC1; COCA1; HNPCC; LCFS2; hMSH2; HNPCC1
Immunogen :Purified recombinant fragment of human MSH2 (AA: 442-586) expressed in E. Coli.
Conjugate :Unconjugated
Modification :Unmodification
1上架,0下架 :1
试用装: 1是,0否 :1
限时特惠: 1是,0否 :1
Western blot analysis using MSH2 mouse mAb against Hela (1), NIH/3T3 (2), A549 (3), and A431 (4) cell lysate.
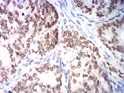
Immunohistochemical analysis of paraffin-embedded human cervical cancer tissues using MSH2 mouse mAb with DAB staining.
Immunofluorescence analysis of Hela cells using MSH2 mouse mAb. Blue: DRAQ5 fluorescent DNA dye. Red: Actin filaments have been labeled with Alexa Fluor- 555 phalloidin.
Flow cytometric analysis of Hela cells using MSH2 mouse mAb (green) and negative control (red).

关注我们

400-660-9091

电话:18013895086

地址:江苏生命科技创新园F6幢1层

订购:nanjing03@biogot.com

服务:biorase01@biogot.com

合作:lvyun@biogot.com

支持:may@biogot.com