中国 EN 400-660-9091

联系我们

电话:18013895086

电话:025-68037686

地址:江苏生命科技创新园F6幢1层

订购:nanjing03@biogot.com

服务:biorase01@biogot.com

合作:lvyun@biogot.com

支持:may@biogot.com

CD131 monoclonal antibody

货号: MB22841
价格 1200
货期 现货(1-2个工作日)
25ug 50ug 100ug 200ug
No. :MB22841
Product Name :CD131 monoclonal antibody
Swiss-Prot :P32927
Host :Mouse
Reactivity :Human, Mouse, Rat
Applications :WB,IHC,FCM
Application_all :WB:1/500 - 1/2000 IHC:1/200 - 1/1000 FC:1/200 - 1/400
Background :The protein encoded by this gene is the common beta chain of the high affinity receptor for IL-3, IL-5 and CSF. Defects in this gene have been reported to be associated with protein alveolar proteinosis (PAP).
Product :Purified antibody in PBS with 0.05% sodium azide
Purification&Purity :The antibody was affinity-purified from mouse ascites by affinity-chromatography using epitope-specific immunogen and the purity is > 95% (by SDS-PAGE).
Storage&Stability :Store at 4°C short term. Aliquot and store at -20°C long term. Avoid freeze-thaw cycles.
Specificity :Mouse IgG1
BiowMW :97.3kDa
Note :For research use only, not for use in diagnostic procedure.
Alternative Name :CSF2RB; IL3RB; IL5RB; SMDP5; CDw131; betaGMR
Immunogen :Purified recombinant fragment of human CD131 (AA: extra 17-149) expressed in E. Coli.
Conjugate :Unconjugated
Modification :Unmodification
1上架,0下架 :1
试用装: 1是,0否 :1
限时特惠: 1是,0否 :1
Western blot analysis using CD131 mouse mAb against NIH/3T3 (1), Hela (2), C6 (3),A549(4) and MCF-7 (5) cell lysate.
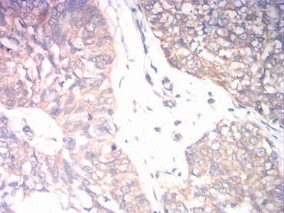
Immunohistochemical analysis of paraffin-embedded human bladder cancer tissues using CD131 mouse mAb with DAB staining.

关注我们

400-660-9091

电话:18013895086

地址:江苏生命科技创新园F6幢1层

订购:nanjing03@biogot.com

服务:biorase01@biogot.com

合作:lvyun@biogot.com

支持:may@biogot.com