中国 EN 400-660-9091

联系我们

电话:18013895086

电话:025-68037686

地址:江苏生命科技创新园F6幢1层

订购:nanjing03@biogot.com

服务:biorase01@biogot.com

合作:lvyun@biogot.com

支持:may@biogot.com

RBBP7 monoclonal antibody

货号: MB22758
价格 1200
货期 现货(1-2个工作日)
25ug 50ug 100ug 200ug
No. :MB22758
Product Name :RBBP7 monoclonal antibody
Swiss-Prot :Q16576
Host :Mouse
Reactivity :Human,Mouse,Rat
Applications :WB,IHC,IF,FCM
Application_all :WB:1/500 - 1/2000 IHC:1/200 - 1/1000 IF:1/200 - 1/500 FC:1/200 - 1/400
Background :This protein is a ubiquitously expressed nuclear protein and belongs to a highly conserved subfamily of WD-repeat proteins. It is found among several proteins that binds directly to retinoblastoma protein, which regulates cell proliferation. The encoded protein is found in many histone deacetylase complexes, including mSin3 co-repressor complex. It is also present in protein complexes involved in chromatin assembly. This protein can interact with BRCA1 tumor-suppressor gene and may have a role in the regulation of cell proliferation and differentiation. Two transcript variants encoding different isoforms have been found for this gene. [provided by RefSeq, Nov 2010]</p>
Product :Purified antibody in PBS with 0.05% sodium azide
Purification&Purity :The antibody was affinity-purified from mouse ascites by affinity-chromatography using epitope-specific immunogen and the purity is > 95% (by SDS-PAGE).
Storage&Stability :Store at 4°C short term. Aliquot and store at -20°C long term. Avoid freeze-thaw cycles.
Specificity :Mouse IgG1
BiowMW :47.8kDa
Note :For research use only, not for use in diagnostic procedure.
Alternative Name :RbAp46
Immunogen :Purified recombinant fragment of human RBBP7 (AA: 1-200) expressed in E. Coli.
Conjugate :Unconjugated
Modification :Unmodification
1上架,0下架 :1
试用装: 1是,0否 :1
限时特惠: 1是,0否 :1
Western blot analysis using RBBP7 mouse mAb against Jurkat (1), HepG2 (2), F9 (3), C6 (4), LNCAP (5), HL-60 (6), Hela (7), and SH-SY5Y (8) cell lysate.
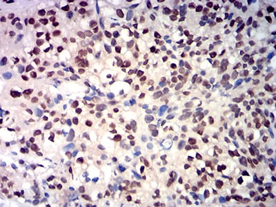
Immunohistochemical analysis of paraffin-embedded human bladder cancer tissues using RBBP7 mouse mAb with DAB staining.
Immunofluorescence analysis of Hela cells using RBBP7 mouse mAb. Blue: DRAQ5 fluorescent DNA dye. Red: Actin filaments have been labeled with Alexa Fluor- 555 phalloidin.
Flow cytometric analysis of Hela cells using RBBP7 mouse mAb (green) and negative control (red).

关注我们

400-660-9091

电话:18013895086

地址:江苏生命科技创新园F6幢1层

订购:nanjing03@biogot.com

服务:biorase01@biogot.com

合作:lvyun@biogot.com

支持:may@biogot.com