中国 EN 400-660-9091

联系我们

电话:18013895086

电话:025-68037686

地址:江苏生命科技创新园F6幢1层

订购:nanjing03@biogot.com

服务:biorase01@biogot.com

合作:lvyun@biogot.com

支持:may@biogot.com

HTRA2 monoclonal antibody

货号: MB22748
价格 1200
货期 现货(1-2个工作日)
25ug 50ug 100ug 200ug
No. :MB22748
Product Name :HTRA2 monoclonal antibody
Swiss-Prot :O43464
Host :Mouse
Reactivity :Human,Mouse,Rat
Applications :WB,IHC,FCM
Application_all :WB:1/500 - 1/2000 IHC:1/200 - 1/1000 FC:1/200 - 1/400
Background :This gene encodes a serine protease. The protein has been localized in the endoplasmic reticulum and interacts with an alternatively spliced form of mitogen-activated protein kinase 14. The protein has also been localized to the mitochondria with release to the cytosol following apoptotic stimulus. The protein is thought to induce apoptosis by binding the apoptosis inhibitory protein baculoviral IAP repeat-containing 4. Nuclear localization of this protein has also been observed. Alternate splicing of this gene results in multiple transcript variants encoding different isoforms. [provided by RefSeq, Mar 2016]</p>
Product :Purified antibody in PBS with 0.05% sodium azide
Purification&Purity :The antibody was affinity-purified from mouse ascites by affinity-chromatography using epitope-specific immunogen and the purity is > 95% (by SDS-PAGE).
Storage&Stability :Store at 4°C short term. Aliquot and store at -20°C long term. Avoid freeze-thaw cycles.
Specificity :Mouse IgG1
BiowMW :48.8kDa
Note :For research use only, not for use in diagnostic procedure.
Alternative Name :OMI; MGCA8; PARK13; PRSS25
Immunogen :Purified recombinant fragment of human HTRA2 (AA: 278-458) expressed in E. Coli.
Conjugate :Unconjugated
Modification :Unmodification
1上架,0下架 :1
试用装: 1是,0否 :1
限时特惠: 1是,0否 :1
Western blot analysis using HTRA2 mouse mAb against HL-60 (1), HepG2 (2), MCF-7 (3), Hela (4), PC-12 (5), C2C12 (6), and Raji (7) cell lysate.
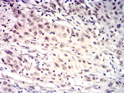
Immunohistochemical analysis of paraffin-embedded human esophageal cancer tissues using HTRA2 mouse mAb with DAB staining.

关注我们

400-660-9091

电话:18013895086

地址:江苏生命科技创新园F6幢1层

订购:nanjing03@biogot.com

服务:biorase01@biogot.com

合作:lvyun@biogot.com

支持:may@biogot.com