中国 EN 400-660-9091

联系我们

电话:18013895086

电话:025-68037686

地址:江苏生命科技创新园F6幢1层

订购:nanjing03@biogot.com

服务:biorase01@biogot.com

合作:lvyun@biogot.com

支持:may@biogot.com

CD195 monoclonal antibody

货号: MB22438
价格 1200
货期 现货(1-2个工作日)
25ug 50ug 100ug 200ug
No. :MB22438
Product Name :CD195 monoclonal antibody
Swiss-Prot :P51681
Host :Mouse
Reactivity :Human,Rat
Applications :WB,IHC,FCM
Application_all :WB:1/500 - 1/2000 IHC:1/200 - 1/1000 FC:1/200 - 1/400
Background :This gene encodes a member of the beta chemokine receptor family, which is predicted to be a seven transmembrane protein similar to G protein-coupled receptors. This protein is expressed by T cells and macrophages, and is known to be an important co-receptor for macrophage-tropic virus, including HIV, to enter host cells. Defective alleles of this gene have been associated with the HIV infection resistance. The ligands of this receptor include monocyte chemoattractant protein 2 (MCP-2), macrophage inflammatory protein 1 alpha (MIP-1 alpha), macrophage inflammatory protein 1 beta (MIP-1 beta) and regulated on activation normal T expressed and secreted protein (RANTES). Expression of this gene was also detected in a promyeloblastic cell line, suggesting that this protein may play a role in granulocyte lineage proliferation and differentiation. This gene is located at the chemokine receptor gene cluster region. An allelic polymorphism in this gene results in both functional and non-functional alleles; the reference genome represents the functional allele. Two transcript variants encoding the same protein have been found for this gene.<br />
Product :Purified antibody in PBS with 0.05% sodium azide
Purification&Purity :The antibody was affinity-purified from mouse ascites by affinity-chromatography using epitope-specific immunogen and the purity is > 95% (by SDS-PAGE).
Storage&Stability :Store at 4°C short term. Aliquot and store at -20°C long term. Avoid freeze-thaw cycles.
Specificity :Mouse IgG1
BiowMW :40.5kDa
Note :For research use only, not for use in diagnostic procedure.
Alternative Name :CCR5; CKR5; CCR-5; CKR-5; CCCKR5; CMKBR5; IDDM22; CC-CKR-5
Immunogen :Purified recombinant fragment of human CD195 (AA: extra mix) expressed in E. Coli.
Conjugate :Unconjugated
Modification :Unmodification
1上架,0下架 :1
试用装: 1是,0否 :1
限时特惠: 1是,0否 :1
Western blot analysis using CD195 mouse mAb against MOLT4 (1), L-02 (2), SPA-C-1 (3), A549 (4), and C6 (5) cell lysate.
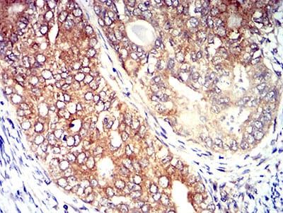
Immunohistochemical analysis of paraffin-embedded human cervical cancer tissues using CD195 mouse mAb with DAB staining.

关注我们

400-660-9091

电话:18013895086

地址:江苏生命科技创新园F6幢1层

订购:nanjing03@biogot.com

服务:biorase01@biogot.com

合作:lvyun@biogot.com

支持:may@biogot.com