中国 EN 400-660-9091

联系我们

电话:18013895086

电话:025-68037686

地址:江苏生命科技创新园F6幢1层

订购:nanjing03@biogot.com

服务:biorase01@biogot.com

合作:lvyun@biogot.com

支持:may@biogot.com

BCL2L2 monoclonal antibody

货号: MB22403
价格 1200
货期 现货(1-2个工作日)
25ug 50ug 100ug 200ug
No. :MB22403
Product Name :BCL2L2 monoclonal antibody
Swiss-Prot :Q92843
Host :Mouse
Reactivity :Human
Applications :WB,IHC,IF,FCM
Application_all :IHC:1/200 - 1/1000 IF:1/200 - 1/1000 FC:1/200 - 1/400
Background :This gene encodes a member of the BCL-2 protein family. The proteins of this family form hetero- or homodimers and act as anti- and pro-apoptotic regulators. Expression of this gene in cells has been shown to contribute to reduced cell apoptosis under cytotoxic conditions. Studies of the related gene in mice indicated a role in the survival of NGF- and BDNF-dependent neurons. Mutation and knockout studies of the mouse gene demonstrated an essential role in adult spermatogenesis. Alternative splicing results in multiple transcript variants. Read-through transcription also exists between this gene and the neighboring downstream PABPN1 (poly(A) binding protein, nuclear 1) gene. <br />
Product :Purified antibody in PBS with 0.05% sodium azide
Purification&Purity :The antibody was affinity-purified from mouse ascites by affinity-chromatography using epitope-specific immunogen and the purity is > 95% (by SDS-PAGE).
Storage&Stability :Store at 4°C short term. Aliquot and store at -20°C long term. Avoid freeze-thaw cycles.
Specificity :Mouse IgG2a
BiowMW :20.7kDa
Note :For research use only, not for use in diagnostic procedure.
Alternative Name :BCLW; BCL-W; PPP1R51; BCL2-L-2
Immunogen :Purified recombinant fragment of human BCL2L2 (AA: 6-118) expressed in E. Coli.
Conjugate :Unconjugated
Modification :Unmodification
1上架,0下架 :1
试用装: 1是,0否 :1
限时特惠: 1是,0否 :1
Western blot analysis using BCL2L2 mouse mAb against HCT116 (1), LOVO (2), SW480 (3), and HL-60 (4) cell lysate.
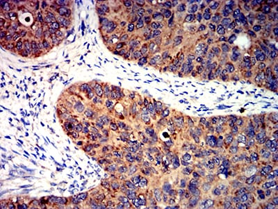
Immunohistochemical analysis of paraffin-embedded human cervical cancer tissues using BCL2L2 mouse mAb with DAB staining.
Immunofluorescence analysis of Hela cells using BCL2L2 mouse mAb (green). Blue: DRAQ5 fluorescent DNA dye. Red: Actin filaments have been labeled with Alexa Fluor- 555 phalloidin. Secondary antibody from Fisher (Cat#: 35503)
Flow cytometric analysis of Hela cells using BCL2L2 mouse mAb (green) and negative control (red).

关注我们

400-660-9091

电话:18013895086

地址:江苏生命科技创新园F6幢1层

订购:nanjing03@biogot.com

服务:biorase01@biogot.com

合作:lvyun@biogot.com

支持:may@biogot.com