中国 EN 400-660-9091

联系我们

电话:18013895086

电话:025-68037686

地址:江苏生命科技创新园F6幢1层

订购:nanjing03@biogot.com

服务:biorase01@biogot.com

合作:lvyun@biogot.com

支持:may@biogot.com

ATG3 monoclonal antibody

货号: MB22333
价格 1200
货期 现货(1-2个工作日)
25ug 50ug 100ug 200ug
No. :MB22333
Product Name :ATG3 monoclonal antibody
Swiss-Prot :Q9NT62
Host :Mouse
Reactivity :Human,Monkey
Applications :WB,IHC,IF
Application_all :WB:1/500 - 1/2000 IHC:1/200 - 1/1000 IF:1/200 - 1/1000
Background :This gene encodes a ubiquitin-like-conjugating enzyme and is a component of ubiquitination-like systems involved in autophagy, the process of degradation, turnover and recycling of cytoplasmic constituents in eukaryotic cells. This protein is known to play a role in regulation of autophagy during cell death. A pseudogene of this gene is located on chromosome 20. Alternative splicing results in multiple transcript variants encoding different isoforms.<br />
Product :Purified antibody in PBS with 0.05% sodium azide
Purification&Purity :The antibody was affinity-purified from mouse ascites by affinity-chromatography using epitope-specific immunogen and the purity is > 95% (by SDS-PAGE).
Storage&Stability :Store at 4°C short term. Aliquot and store at -20°C long term. Avoid freeze-thaw cycles.
Specificity :Mouse IgG1
BiowMW :35.9kDa
Note :For research use only, not for use in diagnostic procedure.
Alternative Name :APG3; APG3L; PC3-96; APG3-LIKE
Immunogen :Purified recombinant fragment of human ATG3 (AA: 1-100) expressed in E. Coli.
Conjugate :Unconjugated
Modification :Unmodification
1上架,0下架 :1
试用装: 1是,0否 :1
限时特惠: 1是,0否 :1
Western blot analysis using ATG3 mouse mAb against Jurkat (1), K562 (2), Hela (3), THP-1 (4), and COS7 (5) cell lysate.
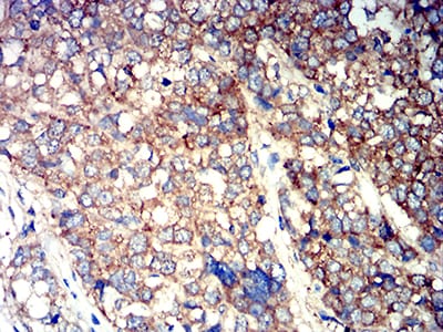
Immunohistochemical analysis of paraffin-embedded human breast cancer tissues using ATG3 mouse mAb with DAB staining.
Immunofluorescence analysis of Hela cells using ATG3 mouse mAb (green). Blue: DRAQ5 fluorescent DNA dye. Red: Actin filaments have been labeled with Alexa Fluor- 555 phalloidin. Secondary antibody from Fisher (Cat#: 35503)

关注我们

400-660-9091

电话:18013895086

地址:江苏生命科技创新园F6幢1层

订购:nanjing03@biogot.com

服务:biorase01@biogot.com

合作:lvyun@biogot.com

支持:may@biogot.com