中国 EN 400-660-9091

联系我们

电话:18013895086

电话:025-68037686

地址:江苏生命科技创新园F6幢1层

订购:nanjing03@biogot.com

服务:biorase01@biogot.com

合作:lvyun@biogot.com

支持:may@biogot.com

ANAPC10 monoclonal antibody

货号: MB22277
价格 1200
货期 现货(1-2个工作日)
25ug 50ug 100ug 200ug
No. :MB22277
Product Name :ANAPC10 monoclonal antibody
Swiss-Prot :Q9UM13
Host :Mouse
Reactivity :Human
Applications :WB,IHC,IF
Application_all :WB:1/500 - 1/2000 IHC:1/200 - 1/1000 IF:1/200 - 1/1000
Background :ANAPC10 is a core subunit of the anaphase-promoting complex (APC), or cyclosome, a ubiquitin protein ligase that is essential for progression through the cell cycle. APC initiates sister chromatid separation by ubiquitinating the anaphase inhibitor securin (PTTG1; MIM 604147) and triggers exit from mitosis by ubiquitinating cyclin B (CCNB1; MIM 123836), the activating subunit of cyclin-dependent kinase-1 (CDK1; MIM 116940) (summary by Wendt et al., 2001 [PubMed 11524682]).<br />
Product :Purified antibody in PBS with 0.05% sodium azide
Purification&Purity :The antibody was affinity-purified from mouse ascites by affinity-chromatography using epitope-specific immunogen and the purity is > 95% (by SDS-PAGE).
Storage&Stability :Store at 4°C short term. Aliquot and store at -20°C long term. Avoid freeze-thaw cycles.
Specificity :Mouse IgG1
BiowMW :21.3kDa
Note :For research use only, not for use in diagnostic procedure.
Alternative Name :DOC1; APC10
Immunogen :Purified recombinant fragment of human ANAPC10 (AA: 1-185) expressed in E. Coli.
Conjugate :Unconjugated
Modification :Unmodification
1上架,0下架 :1
试用装: 1是,0否 :1
限时特惠: 1是,0否 :1
Western blot analysis using ANAPC10 mouse mAb against Jurkat (1), MCF-7 (2), SK-Br-3 (3), A431 (4), HEK293 (5), A549 (6), and SPC-A-1 (7) cell lysate.
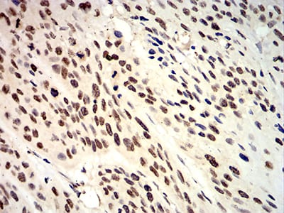
Immunohistochemical analysis of paraffin-embedded human esophageal cancer tissues using ANAPC10 mouse mAb with DAB staining.
Immunofluorescence analysis of Hela cells using ANAPC10 mouse mAb. Blue: DRAQ5 fluorescent DNA dye. Red: Actin filaments have been labeled with Alexa Fluor- 555 phalloidin.

关注我们

400-660-9091

电话:18013895086

地址:江苏生命科技创新园F6幢1层

订购:nanjing03@biogot.com

服务:biorase01@biogot.com

合作:lvyun@biogot.com

支持:may@biogot.com