中国 EN 400-660-9091

联系我们

电话:18013895086

电话:025-68037686

地址:江苏生命科技创新园F6幢1层

订购:nanjing03@biogot.com

服务:biorase01@biogot.com

合作:lvyun@biogot.com

支持:may@biogot.com

P2RX7 monoclonal antibody

货号: MB22267
价格 1200
货期 现货(1-2个工作日)
25ug 50ug 100ug 200ug
No. :MB22267
Product Name :P2RX7 monoclonal antibody
Swiss-Prot :Q99572
Host :Mouse
Reactivity :Human,Mouse,Rabbit
Applications :WB,IHC,FCM
Application_all :WB:1/500 - 1/2000 IHC:1/200 - 1/1000 FC:1/200 - 1/400
Background :The product of this gene belongs to the family of purinoceptors for ATP. This receptor functions as a ligand-gated ion channel and is responsible for ATP-dependent lysis of macrophages through the formation of membrane pores permeable to large molecules. Activation of this nuclear receptor by ATP in the cytoplasm may be a mechanism by which cellular activity can be coupled to changes in gene expression. Multiple alternatively spliced variants have been identified, most of which fit nonsense-mediated decay (NMD) criteria.<br />
Product :Purified antibody in PBS with 0.05% sodium azide
Purification&Purity :The antibody was affinity-purified from mouse ascites by affinity-chromatography using epitope-specific immunogen and the purity is > 95% (by SDS-PAGE).
Storage&Stability :Store at 4°C short term. Aliquot and store at -20°C long term. Avoid freeze-thaw cycles.
Specificity :Mouse IgG2b
BiowMW :68.6kDa
Note :For research use only, not for use in diagnostic procedure.
Alternative Name :P2X7
Immunogen :Purified recombinant fragment of human P2RX7 (AA: 226-452) expressed in E. Coli.
Conjugate :Unconjugated
Modification :Unmodification
1上架,0下架 :1
试用装: 1是,0否 :1
限时特惠: 1是,0否 :1
Western blot analysis using P2RX7 mouse mAb against A431 (1), U251 (2), Hela (3), U937 (4), and HepG2 (5) cell lysate.
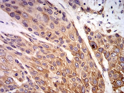
Immunohistochemical analysis of paraffin-embedded human esophageal cancer tissues using P2RX7 mouse mAb with DAB staining.

关注我们

400-660-9091

电话:18013895086

地址:江苏生命科技创新园F6幢1层

订购:nanjing03@biogot.com

服务:biorase01@biogot.com

合作:lvyun@biogot.com

支持:may@biogot.com