中国 EN 400-660-9091

联系我们

电话:18013895086

电话:025-68037686

地址:江苏生命科技创新园F6幢1层

订购:nanjing03@biogot.com

服务:biorase01@biogot.com

合作:lvyun@biogot.com

支持:may@biogot.com

MET monoclonal antibody

货号: MB22237
价格 1200
货期 现货(1-2个工作日)
25ug 50ug 100ug 200ug
No. :MB22237
Product Name :MET monoclonal antibody
Swiss-Prot :P08581
Host :Mouse
Reactivity :Human,Monkey
Applications :WB,IHC,IF,FCM
Application_all :WB:1/500 - 1/2000 IHC:1/200 - 1/1000 IF:1/200 - 1/1000 FC:1/200 - 1/400
Background :This gene encodes a member of the receptor tyrosine kinase family of proteins and the product of the proto-oncogene MET. The encoded preproprotein is proteolytically processed to generate alpha and beta subunits that are linked via disulfide bonds to form the mature receptor. Further processing of the beta subunit results in the formation of the M10 peptide, which has been shown to reduce lung fibrosis. Binding of its ligand, hepatocyte growth factor, induces dimerization and activation of the receptor, which plays a role in cellular survival, embryogenesis, and cellular migration and invasion. Mutations in this gene are associated with papillary renal cell carcinoma, hepatocellular carcinoma, and various head and neck cancers. Amplification and overexpression of this gene are also associated with multiple human cancers.<br />
Product :Purified antibody in PBS with 0.05% sodium azide
Purification&Purity :The antibody was affinity-purified from mouse ascites by affinity-chromatography using epitope-specific immunogen and the purity is > 95% (by SDS-PAGE).
Storage&Stability :Store at 4°C short term. Aliquot and store at -20°C long term. Avoid freeze-thaw cycles.
Specificity :Mouse IgG1
BiowMW :155kDa
Note :For research use only, not for use in diagnostic procedure.
Alternative Name :HGFR; AUTS9; RCCP2; c-Met; DFNB97
Immunogen :Purified recombinant fragment of human MET (AA: 743-932) expressed in E. Coli.
Conjugate :Unconjugated
Modification :Unmodification
Western blot analysis using MET mouse mAb against A549 (1), COS7 (2), Hela (3), HEK293 (4), HepG2 (5), and A431 (6) cell lysate.
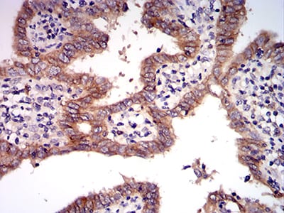
Immunohistochemical analysis of paraffin-embedded human endometrial cancer tissues using MET mouse mAb with DAB staining.
Immunofluorescence analysis of Hela cells using MET mouse mAb (green). Blue: DRAQ5 fluorescent DNA dye. Red: Actin filaments have been labeled with Alexa Fluor- 555 phalloidin. Secondary antibody from Fisher (Cat#: 35503)
Flow cytometric analysis of MCF-7 cells using MET mouse mAb (green) and negative control (red).

关注我们

400-660-9091

电话:18013895086

地址:江苏生命科技创新园F6幢1层

订购:nanjing03@biogot.com

服务:biorase01@biogot.com

合作:lvyun@biogot.com

支持:may@biogot.com