中国 EN 400-660-9091

联系我们

电话:18013895086

电话:025-68037686

地址:江苏生命科技创新园F6幢1层

订购:nanjing03@biogot.com

服务:biorase01@biogot.com

合作:lvyun@biogot.com

支持:may@biogot.com

IghA1 monoclonal antibody

货号: MB22209
价格 1200
货期 现货(1-2个工作日)
25ug 50ug 100ug 200ug
No. :MB22209
Product Name :IghA1 monoclonal antibody
Swiss-Prot :P01876
Host :Mouse
Reactivity :Human,Mouse,Monkey
Applications :WB,IHC,IF,FCM
Application_all :WB:1/500 - 1/2000 IHC:1/200 - 1/1000 IF:1/50 - 1/250 FC:1/200 - 1/400
Background :IGHA1 (Immunoglobulin Heavy Constant Alpha 1) is a Protein Coding gene. Diseases associated with IGHA1 include pseudotumor cerebri. Among its related pathways are Vesicle-mediated transport and Regulation of nuclear SMAD2/3 signaling. GO annotations related to this gene include antigen binding and immunoglobulin receptor binding. An important paralog of this gene is IGHG4.<br />
Product :Purified antibody in PBS with 0.05% sodium azide
Purification&Purity :The antibody was affinity-purified from mouse ascites by affinity-chromatography using epitope-specific immunogen and the purity is > 95% (by SDS-PAGE).
Storage&Stability :Store at 4°C short term. Aliquot and store at -20°C long term. Avoid freeze-thaw cycles.
Specificity :Mouse IgG1
BiowMW :37.6kDa
Note :For research use only, not for use in diagnostic procedure.
Alternative Name :IgA1
Immunogen :Purified recombinant fragment of human IghA1 (AA: 207-353) expressed in E. Coli.
Conjugate :Unconjugated
Modification :Unmodification
Western blot analysis using IghA1 mouse mAb against L1210 (1), THP-1 (2), HepG2 (3), and COS7 (4) cell lysate.
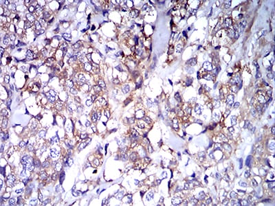
Immunohistochemical analysis of paraffin-embedded human breast cancer tissues using IghA1 mouse mAb with DAB staining.
Immunofluorescence analysis of Hela cells using IghA1 mouse mAb (green). Blue: DRAQ5 fluorescent DNA dye. Red: Actin filaments have been labeled with Alexa Fluor- 555 phalloidin. Secondary antibody from Fisher (Cat#: 35503)
Flow cytometric analysis of Hela cells using IghA1 mouse mAb (green) and negative control (red).

关注我们

400-660-9091

电话:18013895086

地址:江苏生命科技创新园F6幢1层

订购:nanjing03@biogot.com

服务:biorase01@biogot.com

合作:lvyun@biogot.com

支持:may@biogot.com