中国 EN 400-660-9091

联系我们

电话:18013895086

电话:025-68037686

地址:江苏生命科技创新园F6幢1层

订购:nanjing03@biogot.com

服务:biorase01@biogot.com

合作:lvyun@biogot.com

支持:may@biogot.com

DDX1 monoclonal antibody

货号: MB22205
价格 1200
货期 现货(1-2个工作日)
25ug 50ug 100ug 200ug
No. :MB22205
Product Name :DDX1 monoclonal antibody
Swiss-Prot :Q92499
Host :Mouse
Reactivity :Human,Mouse
Applications :WB,IHC,IF,FCM
Application_all :WB:1/500 - 1/2000 IHC:1/200 - 1/1000 IF:1/200 - 1/1000 FC:1/200 - 1/400
Background :DEAD box proteins, characterized by the conserved motif Asp-Glu-Ala-Asp (DEAD), are putative RNA helicases. They are implicated in a number of cellular processes involving alteration of RNA secondary structure such as translation initiation, nuclear and mitochondrial splicing, and ribosome and spliceosome assembly. Based on their distribution patterns, some members of this family are believed to be involved in embryogenesis, spermatogenesis, and cellular growth and division. This gene encodes a DEAD box protein of unknown function. It shows high transcription levels in 2 retinoblastoma cell lines and in tissues of neuroectodermal origin.<br />
Product :Purified antibody in PBS with 0.05% sodium azide
Purification&Purity :The antibody was affinity-purified from mouse ascites by affinity-chromatography using epitope-specific immunogen and the purity is > 95% (by SDS-PAGE).
Storage&Stability :Store at 4°C short term. Aliquot and store at -20°C long term. Avoid freeze-thaw cycles.
Specificity :Mouse IgG1
BiowMW :82.4kDa
Note :For research use only, not for use in diagnostic procedure.
Alternative Name :DBP-RB; UKVH5d
Immunogen :Purified recombinant fragment of human DDX1 (AA: 642-740) expressed in E. Coli.
Conjugate :Unconjugated
Modification :Unmodification
Western blot analysis using DDX1 mouse mAb against Hela (1), MCF-7 (2), A431 (3), PC-3 (4), NIH/3T3 (5), Jurkat (6), U251 (7), and HEK293 (8) cell lysate.
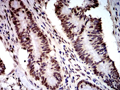
Immunohistochemical analysis of paraffin-embedded human colon cancer tissues using DDX1 mouse mAb with DAB staining.
Immunofluorescence analysis of Hela cells using DDX1 mouse mAb (green). Blue: DRAQ5 fluorescent DNA dye. Red: Actin filaments have been labeled with Alexa Fluor- 555 phalloidin. Secondary antibody from Fisher (Cat#: 35503)
Flow cytometric analysis of Hela cells using DDX1 mouse mAb (green) and negative control (red).

关注我们

400-660-9091

电话:18013895086

地址:江苏生命科技创新园F6幢1层

订购:nanjing03@biogot.com

服务:biorase01@biogot.com

合作:lvyun@biogot.com

支持:may@biogot.com