中国 EN 400-660-9091

联系我们

电话:18013895086

电话:025-68037686

地址:江苏生命科技创新园F6幢1层

订购:nanjing03@biogot.com

服务:biorase01@biogot.com

合作:lvyun@biogot.com

支持:may@biogot.com

BIN1 monoclonal antibody

货号: MB22190
价格 1200
货期 现货(1-2个工作日)
25ug 50ug 100ug 200ug
No. :MB22190
Product Name :BIN1 monoclonal antibody
Swiss-Prot :O00499
Host :Mouse
Reactivity :Human,Mouse
Applications :WB,IHC,FCM
Application_all :WB:1/500 - 1/2000 IHC:1/200 - 1/1000 FC:1/200 - 1/400
Background :This gene encodes several isoforms of a nucleocytoplasmic adaptor protein, one of which was initially identified as a MYC-interacting protein with features of a tumor suppressor. Isoforms that are expressed in the central nervous system may be involved in synaptic vesicle endocytosis and may interact with dynamin, synaptojanin, endophilin, and clathrin. Isoforms that are expressed in muscle and ubiquitously expressed isoforms localize to the cytoplasm and nucleus and activate a caspase-independent apoptotic process. Studies in mouse suggest that this gene plays an important role in cardiac muscle development. Alternate splicing of the gene results in several transcript variants encoding different isoforms. Aberrant splice variants expressed in tumor cell lines have also been described.<br />
Product :Purified antibody in PBS with 0.05% sodium azide
Purification&Purity :The antibody was affinity-purified from mouse ascites by affinity-chromatography using epitope-specific immunogen and the purity is > 95% (by SDS-PAGE).
Storage&Stability :Store at 4°C short term. Aliquot and store at -20°C long term. Avoid freeze-thaw cycles.
Specificity :Mouse IgG2b
BiowMW :64.7kDa
Note :For research use only, not for use in diagnostic procedure.
Alternative Name :AMPH2; AMPHL; SH3P9
Immunogen :Purified recombinant fragment of human BIN1 (AA: 189-398) expressed in E. Coli.
Conjugate :Unconjugated
Modification :Unmodification
Western blot analysis using BIN1 mouse mAb against C2C12 (1), A431 (2), HEK293 (3), and MCF-7 (4) cell lysate.
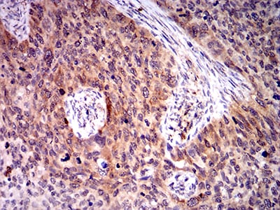
Immunohistochemical analysis of paraffin-embedded human cervical cancer tissues using BIN1 mouse mAb with DAB staining.

关注我们

400-660-9091

电话:18013895086

地址:江苏生命科技创新园F6幢1层

订购:nanjing03@biogot.com

服务:biorase01@biogot.com

合作:lvyun@biogot.com

支持:may@biogot.com