中国 EN 400-660-9091

联系我们

电话:18013895086

电话:025-68037686

地址:江苏生命科技创新园F6幢1层

订购:nanjing03@biogot.com

服务:biorase01@biogot.com

合作:lvyun@biogot.com

支持:may@biogot.com

KDM1A monoclonal antibody

货号: MB22175
价格 1200
货期 现货(1-2个工作日)
25ug 50ug 100ug 200ug
No. :MB22175
Product Name :KDM1A monoclonal antibody
Swiss-Prot :O60341
Host :Mouse
Reactivity :Human,Monkey
Applications :WB,IHC,IF,FCM
Application_all :WB:1/500 - 1/2000 IHC:1/200 - 1/1000 IF:1/200 - 1/1000 FC:1/200 - 1/400
Background :This gene encodes a nuclear protein containing a SWIRM domain, a FAD-binding motif, and an amine oxidase domain. This protein is a component of several histone deacetylase complexes, though it silences genes by functioning as a histone demethylase. Alternative splicing results in multiple transcript variants.<br />
Product :Purified antibody in PBS with 0.05% sodium azide
Purification&Purity :The antibody was affinity-purified from mouse ascites by affinity-chromatography using epitope-specific immunogen and the purity is > 95% (by SDS-PAGE).
Storage&Stability :Store at 4°C short term. Aliquot and store at -20°C long term. Avoid freeze-thaw cycles.
Specificity :Mouse IgG1
BiowMW :93kDa
Note :For research use only, not for use in diagnostic procedure.
Alternative Name :AOF2; CPRF; KDM1; LSD1; BHC110
Immunogen :Purified recombinant fragment of human KDM1A (AA: 55-263) expressed in E. Coli.
Conjugate :Unconjugated
Modification :Unmodification
Western blot analysis using KDM1A mouse mAb against SK-Br-3 (1), K562 (2), SW480 (3), Jurkat (4), Hela (5), COS7 (6), T47D (7), and HCT116 (8) cell lysate.
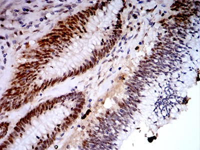
Immunohistochemical analysis of paraffin-embedded human colon cancer tissues using KDM1A mouse mAb with DAB staining.
Immunofluorescence analysis of MCF-7 cells using KDM1A mouse mAb (green). Blue: DRAQ5 fluorescent DNA dye. Red: Actin filaments have been labeled with Alexa Fluor- 555 phalloidin. Secondary antibody from Fisher (Cat#: 35503)
Flow cytometric analysis of Hela cells using KDM1A mouse mAb (green) and negative control (red).

关注我们

400-660-9091

电话:18013895086

地址:江苏生命科技创新园F6幢1层

订购:nanjing03@biogot.com

服务:biorase01@biogot.com

合作:lvyun@biogot.com

支持:may@biogot.com