中国 EN 400-660-9091

联系我们

电话:18013895086

电话:025-68037686

地址:江苏生命科技创新园F6幢1层

订购:nanjing03@biogot.com

服务:biorase01@biogot.com

合作:lvyun@biogot.com

支持:may@biogot.com

XRN2 monoclonal antibody

货号: MB22152
价格 1200
货期 现货(1-2个工作日)
25ug 50ug 100ug 200ug
No. :MB22152
Product Name :XRN2 monoclonal antibody
Swiss-Prot :Q9H0D6
Host :Mouse
Reactivity :Human
Applications :WB,IHC
Application_all :WB:1/500 - 1/2000 IHC:1/200 - 1/1000
Background :This gene encodes a 5'-3' exonuclease that promotes transcription termination at cotranscriptional cleavage sites. Alternative splicing results in multiple transcript variants encoding different isoforms.<br />
Product :Purified antibody in PBS with 0.05% sodium azide
Purification&Purity :The antibody was affinity-purified from mouse ascites by affinity-chromatography using epitope-specific immunogen and the purity is > 95% (by SDS-PAGE).
Storage&Stability :Store at 4°C short term. Aliquot and store at -20°C long term. Avoid freeze-thaw cycles.
Specificity :Mouse IgG1
BiowMW :108.5kDa
Note :For research use only, not for use in diagnostic procedure.
Immunogen :Purified recombinant fragment of human XRN2 (AA: 398-547) expressed in E. Coli.
Conjugate :Unconjugated
Modification :Unmodification
Western blot analysis using XRN2 mouse mAb against Raw264.7 (1), HEK293 (2), NTERA-2 (3), LNcap (4), HepG2 (5), HEK293 (6), and Hela (7) cell lysate.
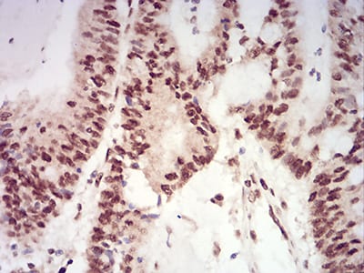
Immunohistochemical analysis of paraffin-embedded human colon cancer tissues using XRN2 mouse mAb with DAB staining.

关注我们

400-660-9091

电话:18013895086

地址:江苏生命科技创新园F6幢1层

订购:nanjing03@biogot.com

服务:biorase01@biogot.com

合作:lvyun@biogot.com

支持:may@biogot.com