中国 EN 400-660-9091

联系我们

电话:18013895086

电话:025-68037686

地址:江苏生命科技创新园F6幢1层

订购:nanjing03@biogot.com

服务:biorase01@biogot.com

合作:lvyun@biogot.com

支持:may@biogot.com

AKT1 monoclonal antibody

货号: MB22138
价格 1200
货期 现货(1-2个工作日)
25ug 50ug 100ug 200ug
No. :MB22138
Product Name :AKT1 monoclonal antibody
Swiss-Prot :P31749
Host :Mouse
Reactivity :Human,Rat,Monkey
Applications :WB,IHC,FCM
Application_all :WB:1/500 - 1/2000 IHC:1/200 - 1/1000 FC:1/200 - 1/400
Background :The serine-threonine protein kinase encoded by the AKT1 gene is catalytically inactive in serum-starved primary and immortalized fibroblasts. AKT1 and the related AKT2 are activated by platelet-derived growth factor. The activation is rapid and specific, and it is abrogated by mutations in the pleckstrin homology domain of AKT1. It was shown that the activation occurs through phosphatidylinositol 3-kinase. In the developing nervous system AKT is a critical mediator of growth factor-induced neuronal survival. Survival factors can suppress apoptosis in a transcription-independent manner by activating the serine/threonine kinase AKT1, which then phosphorylates and inactivates components of the apoptotic machinery. Mutations in this gene have been associated with the Proteus syndrome. Multiple alternatively spliced transcript variants have been found for this gene. <br />
Product :Purified antibody in PBS with 0.05% sodium azide
Purification&Purity :The antibody was affinity-purified from mouse ascites by affinity-chromatography using epitope-specific immunogen and the purity is > 95% (by SDS-PAGE).
Storage&Stability :Store at 4°C short term. Aliquot and store at -20°C long term. Avoid freeze-thaw cycles.
Specificity :Mouse IgG1
BiowMW :55.7kDa
Note :For research use only, not for use in diagnostic procedure.
Alternative Name :AKT; PKB; RAC; CWS6; PRKBA; PKB-ALPHA; RAC-ALPHA
Immunogen :Purified recombinant fragment of human AKT1 (AA: 1-150) expressed in E. Coli.
Conjugate :Unconjugated
Modification :Unmodification
Western blot analysis using AKT1 mouse mAb against A549 (1), MCF-7 (2), Hela (3), COS7 (4), C6 (5), and HL-60 (6) cell lysate.
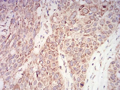
Immunohistochemical analysis of paraffin-embedded human esophageal cancer tissues using AKT1 mouse mAb with DAB staining.

关注我们

400-660-9091

电话:18013895086

地址:江苏生命科技创新园F6幢1层

订购:nanjing03@biogot.com

服务:biorase01@biogot.com

合作:lvyun@biogot.com

支持:may@biogot.com