中国 EN 400-660-9091

联系我们

电话:18013895086

电话:025-68037686

地址:江苏生命科技创新园F6幢1层

订购:nanjing03@biogot.com

服务:biorase01@biogot.com

合作:lvyun@biogot.com

支持:may@biogot.com

YWHAB monoclonal antibody

货号: MB22132
价格 1200
货期 现货(1-2个工作日)
25ug 50ug 100ug 200ug
No. :MB22132
Product Name :YWHAB monoclonal antibody
Swiss-Prot :P31946
Host :Mouse
Reactivity :Human,Mouse,Rat
Applications :WB,IHC,IF,FCM
Application_all :WB:1/500 - 1/2000 IHC:1/200 - 1/1000 IF:1/200 - 1/1000 FC:1/200 - 1/400
Background :This gene encodes a protein belonging to the 14-3-3 family of proteins, members of which mediate signal transduction by binding to phosphoserine-containing proteins. This highly conserved protein family is found in both plants and mammals. The encoded protein has been shown to interact with RAF1 and CDC25 phosphatases, suggesting that it may play a role in linking mitogenic signaling and the cell cycle machinery. Two transcript variants, which encode the same protein, have been identified for this gene.<br />
Product :Purified antibody in PBS with 0.05% sodium azide
Purification&Purity :The antibody was affinity-purified from mouse ascites by affinity-chromatography using epitope-specific immunogen and the purity is > 95% (by SDS-PAGE).
Storage&Stability :Store at 4°C short term. Aliquot and store at -20°C long term. Avoid freeze-thaw cycles.
Specificity :Mouse IgG2b
BiowMW :28kDa
Note :For research use only, not for use in diagnostic procedure.
Alternative Name :HS1; GW128; YWHAA; KCIP-1; HEL-S-1
Immunogen :Purified recombinant fragment of human YWHAB (AA: 1-246) expressed in E. Coli.
Conjugate :Unconjugated
Modification :Unmodification
Western blot analysis using YWHAB mouse mAb against Hela (1), NIH/3T3 (2), C6 (3), A431 (4), K562 (5), PC-12 (6), and U937 (7) cell lysate.
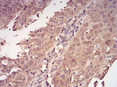
Immunohistochemical analysis of paraffin-embedded human endometrial cancer tissues using YWHAB mouse mAb with DAB staining.
Immunofluorescence analysis of GC-7901 cells using YWHAB mouse mAb (green). Blue: DRAQ5 fluorescent DNA dye. Red: Actin filaments have been labeled with Alexa Fluor- 555 phalloidin. Secondary antibody from Fisher (Cat#: 35503)
Flow cytometric analysis of Hela cells using YWHAB mouse mAb (green) and negative control (red).

关注我们

400-660-9091

电话:18013895086

地址:江苏生命科技创新园F6幢1层

订购:nanjing03@biogot.com

服务:biorase01@biogot.com

合作:lvyun@biogot.com

支持:may@biogot.com