中国 EN 400-660-9091

联系我们

电话:18013895086

电话:025-68037686

地址:江苏生命科技创新园F6幢1层

订购:nanjing03@biogot.com

服务:biorase01@biogot.com

合作:lvyun@biogot.com

支持:may@biogot.com

TH monoclonal antibody

货号: MB22104
价格 1200
货期 现货(1-2个工作日)
25ug 50ug 100ug 200ug
No. :MB22104
Product Name :TH monoclonal antibody
Swiss-Prot :P07101
Host :Mouse
Reactivity :Human,Rat
Applications :WB,IHC,IF,FCM
Application_all :WB:1/500 - 1/2000 IHC:1/200 - 1/1000 IF:1/200 - 1/1000 FC:1/200 - 1/400
Background :The protein encoded by this gene is involved in the conversion of tyrosine to dopamine. It is the rate-limiting enzyme in the synthesis of catecholamines, hence plays a key role in the physiology of adrenergic neurons. Mutations in this gene have been associated with autosomal recessive Segawa syndrome. Alternatively spliced transcript variants encoding different isoforms have been noted for this gene.<br />
Product :Purified antibody in PBS with 0.05% sodium azide
Purification&Purity :The antibody was affinity-purified from mouse ascites by affinity-chromatography using epitope-specific immunogen and the purity is > 95% (by SDS-PAGE).
Storage&Stability :Store at 4°C short term. Aliquot and store at -20°C long term. Avoid freeze-thaw cycles.
Specificity :Mouse IgG1
BiowMW :58.6kDa
Note :For research use only, not for use in diagnostic procedure.
Alternative Name :TYH; DYT14; DYT5b
Immunogen :Purified recombinant fragment of human TH (AA: 44-208) expressed in E. Coli.
Conjugate :Unconjugated
Modification :Unmodification
Western blot analysis using TH mouse mAb against SH-SY5Y (1) and PC-12 (2) cell lysate.
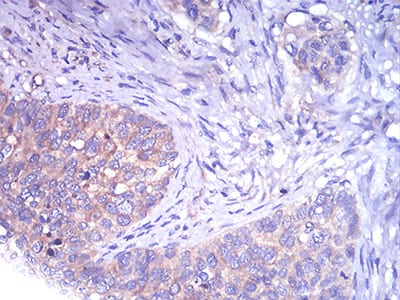
Immunohistochemical analysis of paraffin-embedded human cervical cancer tissues using TH mouse mAb with DAB staining.
Immunofluorescence analysis of Hela cells using TH mouse mAb (green). Blue: DRAQ5 fluorescent DNA dye. Red: Actin filaments have been labeled with Alexa Fluor- 555 phalloidin. Secondary antibody from Fisher (Cat#: 35503)
Flow cytometric analysis of Hela cells using TH mouse mAb (green) and negative control (red).

关注我们

400-660-9091

电话:18013895086

地址:江苏生命科技创新园F6幢1层

订购:nanjing03@biogot.com

服务:biorase01@biogot.com

合作:lvyun@biogot.com

支持:may@biogot.com