中国 EN 400-660-9091

联系我们

电话:18013895086

电话:025-68037686

地址:江苏生命科技创新园F6幢1层

订购:nanjing03@biogot.com

服务:biorase01@biogot.com

合作:lvyun@biogot.com

支持:may@biogot.com

KPNA2 monoclonal antibody

货号: MB22094
价格 1200
货期 现货(1-2个工作日)
25ug 50ug 100ug 200ug
No. :MB22094
Product Name :KPNA2 monoclonal antibody
Swiss-Prot :P52292
Host :Mouse
Reactivity :Human,Mouse
Applications :WB,IHC,IF,FCM
Application_all :WB:1/500 - 1/2000 IHC:1/200 - 1/1000 IF:1/200 - 1/1000 FC:1/200 - 1/400
Background :The import of proteins into the nucleus is a process that involves at least 2 steps. The first is an energy-independent docking of the protein to the nuclear envelope and the second is an energy-dependent translocation through the nuclear pore complex. Imported proteins require a nuclear localization sequence (NLS) which generally consists of a short region of basic amino acids or 2 such regions spaced about 10 amino acids apart. Proteins involved in the first step of nuclear import have been identified in different systems. These include the Xenopus protein importin and its yeast homolog, SRP1 (a suppressor of certain temperature-sensitive mutations of RNA polymerase I in Saccharomyces cerevisiae), which bind to the NLS. KPNA2 protein interacts with the NLSs of DNA helicase Q1 and SV40 T antigen and may be involved in the nuclear transport of proteins. KPNA2 also may play a role in V(D)J recombination. <br />
Product :Purified antibody in PBS with 0.05% sodium azide
Purification&Purity :The antibody was affinity-purified from mouse ascites by affinity-chromatography using epitope-specific immunogen and the purity is > 95% (by SDS-PAGE).
Storage&Stability :Store at 4°C short term. Aliquot and store at -20°C long term. Avoid freeze-thaw cycles.
Specificity :Mouse IgG1
BiowMW :58kDa
Note :For research use only, not for use in diagnostic procedure.
Alternative Name :QIP2; RCH1; IPOA1; SRP1alpha
Immunogen :Purified recombinant fragment of human KPNA2 (AA: 1-530) expressed in E. Coli.
Conjugate :Unconjugated
Modification :Unmodification
Western blot analysis using KPNA2 mouse mAb against Hela (1), HEK293 (2), and NIH/3T3 (3) cell lysate.
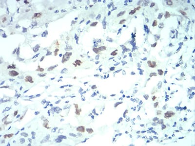
Immunohistochemical analysis of paraffin-embedded human lung cancer tissues using KPNA2 mouse mAb with DAB staining.
Immunofluorescence analysis of Hela cells using KPNA2 mouse mAb (green). Blue: DRAQ5 fluorescent DNA dye. Red: Actin filaments have been labeled with Alexa Fluor- 555 phalloidin. Secondary antibody from Fisher (Cat#: 35503)
Flow cytometric analysis of Hela cells using KPNA2 mouse mAb (green) and negative control (red).

关注我们

400-660-9091

电话:18013895086

地址:江苏生命科技创新园F6幢1层

订购:nanjing03@biogot.com

服务:biorase01@biogot.com

合作:lvyun@biogot.com

支持:may@biogot.com