中国 EN 400-660-9091

联系我们

电话:18013895086

电话:025-68037686

地址:江苏生命科技创新园F6幢1层

订购:nanjing03@biogot.com

服务:biorase01@biogot.com

合作:lvyun@biogot.com

支持:may@biogot.com

CBX5 monoclonal antibody

货号: MB22072
价格 1200
货期 现货(1-2个工作日)
25ug 50ug 100ug 200ug
No. :MB22072
Product Name :CBX5 monoclonal antibody
Swiss-Prot :P45973
Host :Mouse
Reactivity :Human,Mouse
Applications :WB,IHC,IF
Application_all :WB:1/500 - 1/2000 IHC:1/200 - 1/1000 IF:1/200 - 1/1000
Background :This gene encodes a highly conserved nonhistone protein, which is a member of the heterochromatin protein family. The protein is enriched in the heterochromatin and associated with centromeres. The protein has a single N-terminal chromodomain which can bind to histone proteins via methylated lysine residues, and a C-terminal chromo shadow-domain (CSD) which is responsible for the homodimerization and interaction with a number of chromatin-associated nonhistone proteins. The encoded product is involved in the formation of functional kinetochore through interaction with essential kinetochore proteins. The gene has a pseudogene located on chromosome 3. Multiple alternatively spliced variants, encoding the same protein, have been identified. <br />
Product :Purified antibody in PBS with 0.05% sodium azide
Purification&Purity :The antibody was affinity-purified from mouse ascites by affinity-chromatography using epitope-specific immunogen and the purity is > 95% (by SDS-PAGE).
Storage&Stability :Store at 4°C short term. Aliquot and store at -20°C long term. Avoid freeze-thaw cycles.
Specificity :Mouse IgG1
BiowMW :22.2kDa
Note :For research use only, not for use in diagnostic procedure.
Alternative Name :HP1; HP1A; HEL25
Immunogen :Purified recombinant fragment of human CBX5 (AA: 1-191) expressed in E. Coli.
Conjugate :Unconjugated
Modification :Unmodification
Western blot analysis using CBX5 mouse mAb against Hela (1), NIH/3T3 (2), K562 (3), MCF-7 (4), Jurkat (5), and A431 (6) cell lysate.
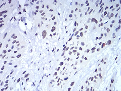
Immunohistochemical analysis of paraffin-embedded human esophageal cancer tissues using CBX5 mouse mAb with DAB staining.
Immunofluorescence analysis of Hela cells using CBX5 mouse mAb. Blue: DRAQ5 fluorescent DNA dye. Red: Actin filaments have been labeled with Alexa Fluor- 555 phalloidin.

关注我们

400-660-9091

电话:18013895086

地址:江苏生命科技创新园F6幢1层

订购:nanjing03@biogot.com

服务:biorase01@biogot.com

合作:lvyun@biogot.com

支持:may@biogot.com