中国 EN 400-660-9091

联系我们

电话:18013895086

电话:025-68037686

地址:江苏生命科技创新园F6幢1层

订购:nanjing03@biogot.com

服务:biorase01@biogot.com

合作:lvyun@biogot.com

支持:may@biogot.com

MGMT monoclonal antibody

货号: MB21997
价格 1200
货期 现货(1-2个工作日)
25ug 50ug 100ug 200ug
No. :MB21997
Product Name :MGMT monoclonal antibody
Swiss-Prot :P16455
Host :Mouse
Reactivity :Human
Applications :WB,IHC,IF,FCM
Application_all :WB:1/500 - 1/2000 IHC:1/200 - 1/1000 IF:1/200 - 1/1000 FC:1/200 - 1/400
Background :MGMT (O-6-methylguanine-DNA methyltransferase) is a protein-coding gene. Diseases associated with MGMT include oligoastrocytoma, and spinal cord astrocytoma. GO annotations related to this gene include DNA-methyltransferase activity and calcium ion binding.<br />
Product :Purified antibody in PBS with 0.05% sodium azide
Purification&Purity :The antibody was affinity-purified from mouse ascites by affinity-chromatography using epitope-specific immunogen and the purity is > 95% (by SDS-PAGE).
Storage&Stability :Store at 4°C short term. Aliquot and store at -20°C long term. Avoid freeze-thaw cycles.
Specificity :Mouse IgG1
BiowMW :21.6kDa
Note :For research use only, not for use in diagnostic procedure.
Alternative Name :EC 2.1.1.63
Immunogen :Purified recombinant fragment of human MGMT (AA: 32-210) expressed in E. Coli.
Conjugate :Unconjugated
Modification :Unmodification
Western blot analysis using MGMT mouse mAb against MCF-7 (1), Jurkat (2), HepG2 (3), and PC-3 (4) cell lysate.
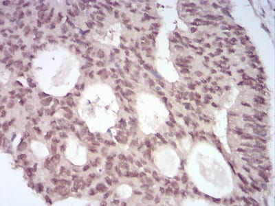
Immunohistochemical analysis of paraffin-embedded human rectum cancer tissues using MGMT mouse mAb with DAB staining.
Immunofluorescence analysis of Hela cells using MGMT mouse mAb (green). Blue: DRAQ5 fluorescent DNA dye. Red: Actin filaments have been labeled with Alexa Fluor- 555 phalloidin. Secondary antibody from Fisher (Cat#: 35503)
Flow cytometric analysis of Hela cells using MGMT mouse mAb (green) and negative control (red).

关注我们

400-660-9091

电话:18013895086

地址:江苏生命科技创新园F6幢1层

订购:nanjing03@biogot.com

服务:biorase01@biogot.com

合作:lvyun@biogot.com

支持:may@biogot.com