中国 EN 400-660-9091

联系我们

电话:18013895086

电话:025-68037686

地址:江苏生命科技创新园F6幢1层

订购:nanjing03@biogot.com

服务:biorase01@biogot.com

合作:lvyun@biogot.com

支持:may@biogot.com

RALA monoclonal antibody

货号: MB21994
价格 1200
货期 现货(1-2个工作日)
25ug 50ug 100ug 200ug
No. :MB21994
Product Name :RALA monoclonal antibody
Swiss-Prot :P11233
Host :Mouse
Reactivity :Human,Mouse,Rat,Monkey
Applications :WB,IHC,IF,FCM
Application_all :WB:1/500 - 1/2000 IHC:1/100 - 1/500 IF:1/50 - 1/500 FC:1/200 - 1/400
Background :The product of this gene belongs to the small GTPase superfamily, Ras family of proteins. GTP-binding proteins mediate the transmembrane signaling initiated by the occupancy of certain cell surface receptors. This gene encodes a low molecular mass ras-like GTP-binding protein that shares about 50% similarity with other ras proteins.<br />
Product :Purified antibody in PBS with 0.05% sodium azide
Purification&Purity :The antibody was affinity-purified from mouse ascites by affinity-chromatography using epitope-specific immunogen and the purity is > 95% (by SDS-PAGE).
Storage&Stability :Store at 4°C short term. Aliquot and store at -20°C long term. Avoid freeze-thaw cycles.
Specificity :Mouse IgG1
BiowMW :23.6kDa
Note :For research use only, not for use in diagnostic procedure.
Alternative Name :RAL
Immunogen :Purified recombinant fragment of human RALA (AA: 71-203) expressed in E. Coli.
Conjugate :Unconjugated
Modification :Unmodification
Western blot analysis using RALA mouse mAb against HepG2 (1), MCF-7 (2), A549 (3), K562 (4), Raji (5), MOLT4 (6), Hela (7), COS7 (8), and NIH3T3 (9) cell lysate.
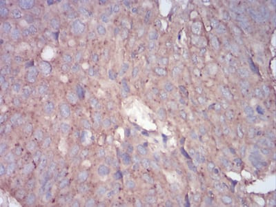
Immunohistochemical analysis of paraffin-embedded human ovarian cancer tissues using RALA mouse mAb with DAB staining.
Immunofluorescence analysis of Hela cells using RALA mouse mAb (green). Blue: DRAQ5 fluorescent DNA dye. Red: Actin filaments have been labeled with Alexa Fluor- 555 phalloidin. Secondary antibody from Fisher (Cat#: 35503)
Flow cytometric analysis of MCF-7 cells using RALA mouse mAb (green) and negative control (red).

关注我们

400-660-9091

电话:18013895086

地址:江苏生命科技创新园F6幢1层

订购:nanjing03@biogot.com

服务:biorase01@biogot.com

合作:lvyun@biogot.com

支持:may@biogot.com