中国 EN 400-660-9091

联系我们

电话:18013895086

电话:025-68037686

地址:江苏生命科技创新园F6幢1层

订购:nanjing03@biogot.com

服务:biorase01@biogot.com

合作:lvyun@biogot.com

支持:may@biogot.com

SNAI2 monoclonal antibody

货号: MB21900
价格 1200
货期 现货(1-2个工作日)
25ug 50ug 100ug 200ug
No. :MB21900
Product Name :SNAI2 monoclonal antibody
Swiss-Prot :O43623
Host :Mouse
Reactivity :Human
Applications :WB,IHC,IF,FCM
Application_all :WB:1/500 - 1/2000 IHC:1/200 - 1/1000 IF:1/200 - 1/1000 FC:1/200 - 1/400
Background :This gene encodes a member of the Snail family of C2H2-type zinc finger transcription factors. The encoded protein acts as a transcriptional repressor that binds to E-box motifs and is also likely to repress E-cadherin transcription in breast carcinoma. This protein is involved in epithelial-mesenchymal transitions and has antiapoptotic activity. Mutations in this gene may be associated with sporatic cases of neural tube defects.
Product :Purified antibody in PBS with 0.05% sodium azide.
Purification&Purity :The antibody was affinity-purified from mouse ascites by affinity-chromatography using epitope-specific immunogen and the purity is > 95% (by SDS-PAGE).
Storage&Stability :Store at 4°C short term. Aliquot and store at -20°C long term. Avoid freeze-thaw cycles.
Specificity :Mouse IgG1
BiowMW :30kDa
Note :For research use only, not for use in diagnostic procedure.
Alternative Name :SLUG; WS2D; SLUGH1; SNAIL2
Immunogen :Purified recombinant fragment of human SNAI2 (AA: 100-200) expressed in E. Coli.
Conjugate :Unconjugated
Modification :Unmodification
Western blot analysis using SNAI2 mouse mAb against MCF-7 cell lysate.
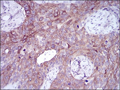
Immunohistochemical analysis of paraffin-embedded human cervical cancer tissues using SNAI2 mouse mAb with DAB staining.
Immunofluorescence analysis of Hela cells using SNAI2 mouse mAb (green). Blue: DRAQ5 fluorescent DNA dye. Red: Actin filaments have been labeled with Alexa Fluor- 555 phalloidin. Secondary antibody from Fisher (Cat#: 35503)
Flow cytometric analysis of MCF-7 cells using SNAI2 mouse mAb (green) and negative control (red).

关注我们

400-660-9091

电话:18013895086

地址:江苏生命科技创新园F6幢1层

订购:nanjing03@biogot.com

服务:biorase01@biogot.com

合作:lvyun@biogot.com

支持:may@biogot.com