中国 EN 400-660-9091

联系我们

电话:18013895086

电话:025-68037686

地址:江苏生命科技创新园F6幢1层

订购:nanjing03@biogot.com

服务:biorase01@biogot.com

合作:lvyun@biogot.com

支持:may@biogot.com

CASP-7 monoclonal antibody

货号: MB21897
价格 1200
货期 现货(1-2个工作日)
25ug 50ug 100ug 200ug
No. :MB21897
Product Name :CASP-7 monoclonal antibody
Swiss-Prot :P55210
Host :Mouse
Reactivity :Human
Applications :WB,IHC,FCM
Application_all :WB:1/500 - 1/2000 IHC:1/200 - 1/1000 FC:1/200 - 1/400
Background :This gene encodes a member of the cysteine-aspartic acid protease (caspase) family. Sequential activation of caspases plays a central role in the execution-phase of cell apoptosis. Caspases exist as inactive proenzymes which undergo proteolytic processing at conserved aspartic residues to produce two subunits, large and small, that dimerize to form the active enzyme. The precursor of the encoded protein is cleaved by caspase 3 and 10, is activated upon cell death stimuli and induces apoptosis. Alternatively spliced transcript variants encoding multiple isoforms have been observed for this gene.
Product :Purified antibody in PBS with 0.05% sodium azide.
Purification&Purity :The antibody was affinity-purified from mouse ascites by affinity-chromatography using epitope-specific immunogen and the purity is > 95% (by SDS-PAGE).
Storage&Stability :Store at 4°C short term. Aliquot and store at -20°C long term. Avoid freeze-thaw cycles.
Specificity :Mouse IgG1
BiowMW :34.3kDa
Note :For research use only, not for use in diagnostic procedure.
Alternative Name :MCH3; CMH-1; LICE2; CASP7; ICE-LAP3
Immunogen :Purified recombinant fragment of human CASP-7 (AA: 29-198) expressed in E. Coli.
Conjugate :Unconjugated
Modification :Unmodification
Western blot analysis using CASP-7 mouse mAb against Jurkat (1), HEK293 (2), MOLT4 (3), MCF-7 (4), PC-12 (5) cell lysate.
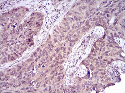
Immunohistochemical analysis of paraffin-embedded human cervical cancer tissues using CASP-7 mouse mAb with DAB staining.

关注我们

400-660-9091

电话:18013895086

地址:江苏生命科技创新园F6幢1层

订购:nanjing03@biogot.com

服务:biorase01@biogot.com

合作:lvyun@biogot.com

支持:may@biogot.com