中国 EN 400-660-9091

联系我们

电话:18013895086

电话:025-68037686

地址:江苏生命科技创新园F6幢1层

订购:nanjing03@biogot.com

服务:biorase01@biogot.com

合作:lvyun@biogot.com

支持:may@biogot.com

FTL monoclonal antibody

货号: MB21857
价格 1200
货期 现货(1-2个工作日)
25ug 50ug 100ug 200ug
No. :MB21857
Product Name :FTL monoclonal antibody
Swiss-Prot :P02792
Host :Mouse
Reactivity :Human
Applications :WB,IHC,IF
Application_all :WB:1/500 - 1/2000 IHC:1/200 - 1/1000 IF:1/200 - 1/1000
Background :This gene encodes the light subunit of the ferritin protein. Ferritin is the major intracellular iron storage protein in prokaryotes and eukaryotes. It is composed of 24 subunits of the heavy and light ferritin chains. Variation in ferritin subunit composition may affect the rates of iron uptake and release in different tissues. A major function of ferritin is the storage of iron in a soluble and nontoxic state. Defects in this light chain ferritin gene are associated with several neurodegenerative diseases and hyperferritinemia-cataract syndrome. This gene has multiple pseudogenes.
Product :Purified antibody in PBS with 0.05% sodium azide.
Purification&Purity :The antibody was affinity-purified from mouse ascites by affinity-chromatography using epitope-specific immunogen and the purity is > 95% (by SDS-PAGE).
Storage&Stability :Store at 4°C short term. Aliquot and store at -20°C long term. Avoid freeze-thaw cycles.
Specificity :Mouse IgG1
BiowMW :20kDa
Note :For research use only, not for use in diagnostic procedure.
Alternative Name :NBIA3
Immunogen :Purified recombinant fragment of human FTL (AA: FULL(1-157)) expressed in E. Coli.
Conjugate :Unconjugated
Modification :Unmodification
Western blot analysis using FTL mouse mAb against K562 cell lysate.
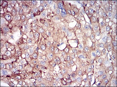
Immunohistochemical analysis of paraffin-embedded human liver cancer tissues using FTL mouse mAb with DAB staining.
Immunofluorescence analysis of A431 cells using FTL mouse mAb (green). Blue: DRAQ5 fluorescent DNA dye. Red: Actin filaments have been labeled with Alexa Fluor- 555 phalloidin. Secondary antibody from Fisher (Cat#: 35503)

关注我们

400-660-9091

电话:18013895086

地址:江苏生命科技创新园F6幢1层

订购:nanjing03@biogot.com

服务:biorase01@biogot.com

合作:lvyun@biogot.com

支持:may@biogot.com