中国 EN 400-660-9091

联系我们

电话:18013895086

电话:025-68037686

地址:江苏生命科技创新园F6幢1层

订购:nanjing03@biogot.com

服务:biorase01@biogot.com

合作:lvyun@biogot.com

支持:may@biogot.com

HPRT1 monoclonal antibody

货号: MB21855
价格 1200
货期 现货(1-2个工作日)
25ug 50ug 100ug 200ug
No. :MB21855
Product Name :HPRT1 monoclonal antibody
Swiss-Prot :P00492
Host :Mouse
Reactivity :Human
Applications :WB,IHC,FCM
Application_all :WB:1/500 - 1/2000 IHC:1/200 - 1/1000 FC:1/200 - 1/400
Background :The protein encoded by this gene is a transferase, which catalyzes conversion of hypoxanthine to inosine monophosphate and guanine to guanosine monophosphate via transfer of the 5-phosphoribosyl group from 5-phosphoribosyl 1-pyrophosphate. This enzyme plays a central role in the generation of purine nucleotides through the purine salvage pathway. Mutations in this gene result in Lesch-Nyhan syndrome or gout.
Product :Purified antibody in PBS with 0.05% sodium azide.
Purification&Purity :The antibody was affinity-purified from mouse ascites by affinity-chromatography using epitope-specific immunogen and the purity is > 95% (by SDS-PAGE).
Storage&Stability :Store at 4°C short term. Aliquot and store at -20°C long term. Avoid freeze-thaw cycles.
Specificity :Mouse IgG1
BiowMW :24.6kDa
Note :For research use only, not for use in diagnostic procedure.
Alternative Name :HPRT; HGPRT
Immunogen :Purified recombinant fragment of human HPRT1 (AA: FULL(1-218)) expressed in E. Coli.
Conjugate :Unconjugated
Modification :Unmodification
Western blot analysis using HPRT1 mouse mAb against Hela (1), A431 (2), A549 (3) cell lysate.
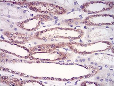
Immunohistochemical analysis of paraffin-embedded human kidney tissues using HPRT1 mouse mAb with DAB staining.

关注我们

400-660-9091

电话:18013895086

地址:江苏生命科技创新园F6幢1层

订购:nanjing03@biogot.com

服务:biorase01@biogot.com

合作:lvyun@biogot.com

支持:may@biogot.com