中国 EN 400-660-9091

联系我们

电话:18013895086

电话:025-68037686

地址:江苏生命科技创新园F6幢1层

订购:nanjing03@biogot.com

服务:biorase01@biogot.com

合作:lvyun@biogot.com

支持:may@biogot.com

CAV2 monoclonal antibody

货号: MB21828
价格 1200
货期 现货(1-2个工作日)
25ug 50ug 100ug 200ug
No. :MB21828
Product Name :CAV2 monoclonal antibody
Swiss-Prot :P51636
Host :Mouse
Reactivity :Human
Applications :WB,IHC,FCM
Application_all :WB:1/500 - 1/2000 IHC:1/200 - 1/1000 FC:1/200 - 1/400
Background :The protein encoded by this gene is a major component of the inner surface of caveolae, small invaginations of the plasma membrane, and is involved in essential cellular functions, including signal transduction, lipid metabolism, cellular growth control and apoptosis. This protein may function as a tumor suppressor. This gene and related family member (CAV1) are located next to each other on chromosome 7, and express colocalizing proteins that form a stable hetero-oligomeric complex. Alternatively spliced transcript variants encoding different isoforms have been identified for this gene. Additional isoforms resulting from the use of alternate in-frame translation initiation codons have also been described, and shown to have preferential localization in the cell (PMID:11238462).
Product :Purified antibody in PBS with 0.05% sodium azide.
Purification&Purity :The antibody was affinity-purified from mouse ascites by affinity-chromatography using epitope-specific immunogen and the purity is > 95% (by SDS-PAGE).
Storage&Stability :Store at 4°C short term. Aliquot and store at -20°C long term. Avoid freeze-thaw cycles.
Specificity :Mouse IgG1
BiowMW :18.3kDa
Note :For research use only, not for use in diagnostic procedure.
Alternative Name :CAV
Immunogen :Purified recombinant fragment of human CAV2 (AA: 1-86) expressed in E. Coli.
Conjugate :Unconjugated
Modification :Unmodification
Western blot analysis using CAV2 mouse mAb against A549 (1), 3T3-L1 (2), A431 (3) cell lysate.
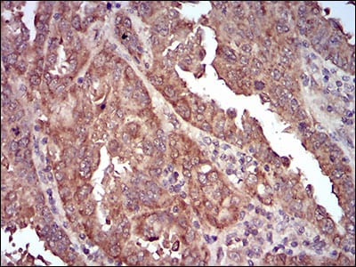
Immunohistochemical analysis of paraffin-embedded human endometrial cancer tissues using CAV2 mouse mAb with DAB staining.

关注我们

400-660-9091

电话:18013895086

地址:江苏生命科技创新园F6幢1层

订购:nanjing03@biogot.com

服务:biorase01@biogot.com

合作:lvyun@biogot.com

支持:may@biogot.com