中国 EN 400-660-9091

联系我们

电话:18013895086

电话:025-68037686

地址:江苏生命科技创新园F6幢1层

订购:nanjing03@biogot.com

服务:biorase01@biogot.com

合作:lvyun@biogot.com

支持:may@biogot.com

SDC1 monoclonal antibody

货号: MB21788
价格 1200
货期 现货(1-2个工作日)
25ug 50ug 100ug 200ug
No. :MB21788
Product Name :SDC1 monoclonal antibody
Swiss-Prot :P18827
Host :Mouse
Reactivity :Human,Mouse
Applications :WB,IHC,IF,FCM
Application_all :WB:1/500 - 1/2000 IHC:1/200 - 1/1000 IF:1/200 - 1/1000 FC:1/200 - 1/400
Background :The protein encoded by this gene is a transmembrane (type I) heparan sulfate proteoglycan and is a member of the syndecan proteoglycan family. The syndecans mediate cell binding, cell signaling, and cytoskeletal organization and syndecan receptors are required for internalization of the HIV-1 tat protein. The syndecan-1 protein functions as an integral membrane protein and participates in cell proliferation, cell migration and cell-matrix interactions via its receptor for extracellular matrix proteins. Altered syndecan-1 expression has been detected in several different tumor types. While several transcript variants may exist for this gene, the full-length natures of only two have been described to date. These two represent the major variants of this gene and encode the same protein. <br /><br /><br /><br /><br />
Product :Purified antibody in PBS with 0.05% sodium azide.
Purification&Purity :The antibody was affinity-purified from mouse ascites by affinity-chromatography using epitope-specific immunogen and the purity is > 95% (by SDS-PAGE).
Storage&Stability :Store at 4°C short term. Aliquot and store at -20°C long term. Avoid freeze-thaw cycles.
Specificity :Mouse IgG1
BiowMW :32.5kDa
Note :For research use only, not for use in diagnostic procedure.
Alternative Name :SDC; CD138; SYND1; syndecan
Immunogen :Purified recombinant fragment of human SDC1 (AA: 28-171) expressed in E. Coli.
Conjugate :Unconjugated
Modification :Unmodification
Western blot analysis using SDC1 mouse mAb against MCF-7 (1), Hela (2), HepG2 (3), T47D (4), SW620 (5), Jurkat (6) and NIH/3T3 (7) cell lysate.
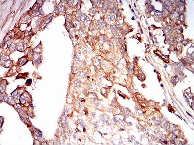
Immunohistochemical analysis of paraffin-embedded human ovarian cancer tissues using SDC1 mouse mAb with DAB staining.
Immunofluorescence analysis of HepG2 cells using SDC1 mouse mAb (green). Blue: DRAQ5 fluorescent DNA dye. Secondary antibody from Fisher (Cat#: 35503)
Flow cytometric analysis of HepG2 cells using SDC1 mouse mAb (green) and negative control (red).

关注我们

400-660-9091

电话:18013895086

地址:江苏生命科技创新园F6幢1层

订购:nanjing03@biogot.com

服务:biorase01@biogot.com

合作:lvyun@biogot.com

支持:may@biogot.com