中国 EN 400-660-9091

联系我们

电话:18013895086

电话:025-68037686

地址:江苏生命科技创新园F6幢1层

订购:nanjing03@biogot.com

服务:biorase01@biogot.com

合作:lvyun@biogot.com

支持:may@biogot.com

CD14 monoclonal antibody

货号: MB21778
价格 1200
货期 现货(1-2个工作日)
25ug 50ug 100ug 200ug
No. :MB21778
Product Name :CD14 monoclonal antibody
Swiss-Prot :P08571
Host :Mouse
Reactivity :Human,Mouse,Rat,Rabbit
Applications :WB,IHC,FCM
Application_all :WB:1/500 - 1/2000 IHC:1/200 - 1/1000 FC:1/200 - 1/400
Background :The protein encoded by this gene is a surface antigen that is preferentially expressed on monocytes/macrophages. It cooperates with other proteins to mediate the innate immune response to bacterial lipopolysaccharide. Alternative splicing results in multiple transcript variants encoding the same protein. <br /><br />
Product :Purified antibody in PBS with 0.05% sodium azide
Purification&Purity :The antibody was affinity-purified from mouse ascites by affinity-chromatography using epitope-specific immunogen and the purity is > 95% (by SDS-PAGE).
Storage&Stability :Store at 4°C short term. Aliquot and store at -20°C long term. Avoid freeze-thaw cycles.
Specificity :Mouse IgG1
BiowMW :40kDa
Note :For research use only, not for use in diagnostic procedure.
Immunogen :Purified recombinant fragment of human CD14 (AA: 20-214) expressed in E. Coli.
Conjugate :Unconjugated
Modification :Unmodification
Western blot analysis using CD14 mouse mAb against HepG2 (1), A549 (2), HL60 (3), RAW264.7 (4), Hela (5), HEK293 (6) and NIH/3T3 (7) cell lysate.
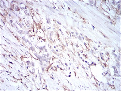
Immunohistochemical analysis of paraffin-embedded human stomach cancer tissues using CD14 mouse mAb with DAB staining.

关注我们

400-660-9091

电话:18013895086

地址:江苏生命科技创新园F6幢1层

订购:nanjing03@biogot.com

服务:biorase01@biogot.com

合作:lvyun@biogot.com

支持:may@biogot.com