中国 EN 400-660-9091

联系我们

电话:18013895086

电话:025-68037686

地址:江苏生命科技创新园F6幢1层

订购:nanjing03@biogot.com

服务:biorase01@biogot.com

合作:lvyun@biogot.com

支持:may@biogot.com

MAPK14 monoclonal antibody

货号: MB21759
价格 1200
货期 现货(1-2个工作日)
25ug 50ug 100ug 200ug
No. :MB21759
Product Name :MAPK14 monoclonal antibody
Swiss-Prot :Q16539
Host :Mouse
Reactivity :Human,Mouse,Monkey,Rat
Applications :WB,IHC
Application_all :WB:1/500 - 1/2000 IHC:1/200 - 1/1000
Background :The protein encoded by this gene is a member of the MAP kinase family. MAP kinases act as an integration point for multiple biochemical signals, and are involved in a wide variety of cellular processes such as proliferation, differentiation, transcription regulation and development. This kinase is activated by various environmental stresses and proinflammatory cytokines. The activation requires its phosphorylation by MAP kinase kinases (MKKs), or its autophosphorylation triggered by the interaction of MAP3K7IP1/TAB1 protein with this kinase. The substrates of this kinase include transcription regulator ATF2, MEF2C, and MAX, cell cycle regulator CDC25B, and tumor suppressor p53, which suggest the roles of this kinase in stress related transcription and cell cycle regulation, as well as in genotoxic stress response. Four alternatively spliced transcript variants of this gene encoding distinct isoforms have been reported. <br /><br /><br />
Product :Purified antibody in PBS with 0.05% sodium azide
Purification&Purity :The antibody was affinity-purified from mouse ascites by affinity-chromatography using epitope-specific immunogen and the purity is > 95% (by SDS-PAGE).
Storage&Stability :Store at 4°C short term. Aliquot and store at -20°C long term. Avoid freeze-thaw cycles.
Specificity :Mouse IgG1
BiowMW :41.3kDa
Note :For research use only, not for use in diagnostic procedure.
Alternative Name :RK; p38; CSBP; EXIP; Mxi2; CSBP1; CSBP2; CSPB1; PRKM14; PRKM15; SAPK2A; p38ALPHA
Immunogen :Purified recombinant fragment of human MAPK14 (AA: 299-360) expressed in E. Coli.
Conjugate :Unconjugated
Modification :Unmodification
Western blot analysis using MAPK14 mouse mAb against Hela (1), HEK293 (2), A431 (3), MCF-7 (4), RAW264.7 (5), Cos7 (6), C6 (7), Jurkat (8) and NIH/3T3 (9) cell lysate.
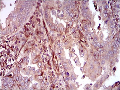
Immunohistochemical analysis of paraffin-embedded human endometrial cancer tissues using MAPK14 mouse mAb with DAB staining.

关注我们

400-660-9091

电话:18013895086

地址:江苏生命科技创新园F6幢1层

订购:nanjing03@biogot.com

服务:biorase01@biogot.com

合作:lvyun@biogot.com

支持:may@biogot.com