中国 EN 400-660-9091

联系我们

电话:18013895086

电话:025-68037686

地址:江苏生命科技创新园F6幢1层

订购:nanjing03@biogot.com

服务:biorase01@biogot.com

合作:lvyun@biogot.com

支持:may@biogot.com

SQSTM1 monoclonal antibody

货号: MB21699
价格 1200
货期 现货(1-2个工作日)
25ug 50ug 100ug 200ug
No. :MB21699
Product Name :SQSTM1 monoclonal antibody
Swiss-Prot :Q13501
Host :Mouse
Reactivity :Human,Mouse,Rat,Rabbit,Monkey
Applications :WB,IHC,IF,FCM
Application_all :WB:1/500 - 1/2000 IHC:1/200 - 1/1000 IF:1/100-1/200 FC:1/200 - 1/400
Background :This gene encodes a multifunctional protein that binds ubiquitin and regulates activation of the nuclear factor kappa-B (NF-kB) signaling pathway. The protein functions as a scaffolding/adaptor protein in concert with TNF receptor-associated factor 6 to mediate activation of NF-kB in response to upstream signals. Alternatively spliced transcript variants encoding either the same or different isoforms have been identified for this gene. Mutations in this gene result in sporadic and familial Paget disease of bone.
Product :Purified antibody in PBS with 0.05% sodium azide
Purification&Purity :The antibody was affinity-purified from mouse ascites by affinity-chromatography using epitope-specific immunogen and the purity is > 95% (by SDS-PAGE).
Storage&Stability :Store at 4°C short term. Aliquot and store at -20°C long term. Avoid freeze-thaw cycles.
Specificity :Mouse IgG1
BiowMW :47.7kDa
Note :For research use only, not for use in diagnostic procedure.
Alternative Name :p60; p62; A170; OSIL; PDB3; ZIP3; p62B
Immunogen :Purified recombinant fragment of human SQSTM1 (AA: 232-356) expressed in E. Coli.
Conjugate :Unconjugated
Modification :Unmodification
Western blot analysis using SQSTM1 mouse mAb against Hela (1), Jurkat (2), THP-1 (3), HEK293 (4), A549 (5), MCF-7 (6), HepG2 (7), COS7 (8) and SK-BR-3 (9) cell lysate.
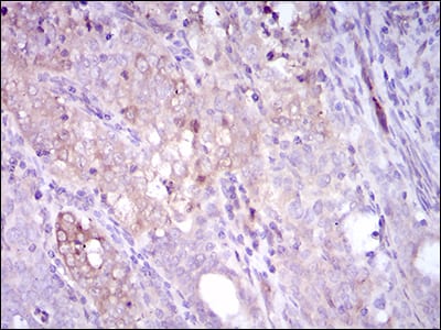
Immunohistochemical analysis of paraffin-embedded human cervical cancer tissues using SQSTM1 mouse mAb with DAB staining.
Immunofluorescence analysis of Rat cortical tissue using SQSTM1 mouse mAb (Red). Blue: DRAQ5 fluorescent DNA dye.

关注我们

400-660-9091

电话:18013895086

地址:江苏生命科技创新园F6幢1层

订购:nanjing03@biogot.com

服务:biorase01@biogot.com

合作:lvyun@biogot.com

支持:may@biogot.com