中国 EN 400-660-9091

联系我们

电话:18013895086

电话:025-68037686

地址:江苏生命科技创新园F6幢1层

订购:nanjing03@biogot.com

服务:biorase01@biogot.com

合作:lvyun@biogot.com

支持:may@biogot.com

ILK monoclonal antibody

货号: MB21663
价格 1200
货期 现货(1-2个工作日)
25ug 50ug 100ug 200ug
No. :MB21663
Product Name :ILK monoclonal antibody
Swiss-Prot :Q13418
Host :Mouse
Reactivity :Human,Mouse,Monkey
Applications :WB,IHC,FCM
Application_all :WB:1/500 - 1/2000 IHC:1/200 - 1/1000 FC:1/200 - 1/400
Background :Transduction of extracellular matrix signals through integrins influences intracellular and extracellular functions, and appears to require interaction of integrin cytoplasmic domains with cellular proteins. Integrin-linked kinase (ILK), interacts with the cytoplasmic domain of beta-1 integrin. This gene encodes a serine/threonine protein kinase with 4 ankyrin-like repeats, which associates with the cytoplasmic domain of beta integrins and acts as a proximal receptor kinase regulating integrin-mediated signal transduction. Multiple alternatively spliced transcript variants encoding the same protein have been found for this gene.
Product :Ascitic fluid containing 0.03% sodium azide.
Purification&Purity :The antibody was affinity-purified from mouse ascites by affinity-chromatography using epitope-specific immunogen and the purity is > 95% (by SDS-PAGE).
Storage&Stability :Store at 4°C short term. Aliquot and store at -20°C long term. Avoid freeze-thaw cycles.
Specificity :Mouse IgG1
BiowMW :51.4kDa
Note :For research use only, not for use in diagnostic procedure.
Alternative Name :P59; ILK-2
Immunogen :Purified recombinant fragment of human ILK (AA: 97-244) expressed in E. Coli.
Conjugate :Unconjugated
Modification :Unmodification
Western blot analysis using ILK mouse mAb against Jurkat (1), NIH3T3 (2), HeLa (3), PC-12 (4), C6 (5), COS7 (6), Raji (7), K562 (8) and MCF-7 (9) cell lysate.
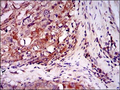
Immunohistochemical analysis of paraffin-embedded human esophageal cancer tissues using ILK mouse mAb with DAB staining.

关注我们

400-660-9091

电话:18013895086

地址:江苏生命科技创新园F6幢1层

订购:nanjing03@biogot.com

服务:biorase01@biogot.com

合作:lvyun@biogot.com

支持:may@biogot.com