中国 EN 400-660-9091

联系我们

电话:18013895086

电话:025-68037686

地址:江苏生命科技创新园F6幢1层

订购:nanjing03@biogot.com

服务:biorase01@biogot.com

合作:lvyun@biogot.com

支持:may@biogot.com

SPIB monoclonal antibody

货号: MB21653
价格 1200
货期 现货(1-2个工作日)
25ug 50ug 100ug 200ug
No. :MB21653
Product Name :SPIB monoclonal antibody
Swiss-Prot :Q01892
Host :Mouse
Reactivity :Human,Mouse
Applications :WB,IHC,IF,FCM
Application_all :WB:1/500 - 1/2000 IHC:1/200 - 1/1000 IF:1/200 - 1/1000 FC:1/200 - 1/400
Background :The protein encoded by this gene is a transcriptional activator that binds to the PU-box (5'-GAGGAA-3') and acts as a lymphoid-specific enhancer. Four transcript variants encoding different isoforms have been found for this gene.
Product :Purified antibody in PBS with 0.05% sodium azide.
Purification&Purity :The antibody was affinity-purified from mouse ascites by affinity-chromatography using epitope-specific immunogen and the purity is > 95% (by SDS-PAGE).
Storage&Stability :Store at 4°C short term. Aliquot and store at -20°C long term. Avoid freeze-thaw cycles.
Specificity :Mouse IgG1
BiowMW :28.8kDa
Note :For research use only, not for use in diagnostic procedure.
Alternative Name :SPI-B
Immunogen :Purified recombinant fragment of human SPIB (AA: 200-252) expressed in E. Coli.
Conjugate :Unconjugated
Modification :Unmodification
Western blot analysis using SPIB mouse mAb against A549 (1), PC-3 (2), and NIH3T3 (3) cell lysate.
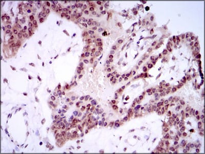
Immunohistochemical analysis of paraffin-embedded human ovarian cancer tissues using SPIB mouse mAb with DAB staining.
Immunofluorescence analysis of HeLa cells using SPIB mouse mAb (green). Blue: DRAQ5 fluorescent DNA dye. Red: Actin filaments have been labeled with Alexa Fluor-555 phalloidin.
Flow cytometric analysis of NIH3T3 cells using SPIB mouse mAb (green) and negative control (red).

关注我们

400-660-9091

电话:18013895086

地址:江苏生命科技创新园F6幢1层

订购:nanjing03@biogot.com

服务:biorase01@biogot.com

合作:lvyun@biogot.com

支持:may@biogot.com