中国 EN 400-660-9091

联系我们

电话:18013895086

电话:025-68037686

地址:江苏生命科技创新园F6幢1层

订购:nanjing03@biogot.com

服务:biorase01@biogot.com

合作:lvyun@biogot.com

支持:may@biogot.com

AlCAM monoclonal antibody

货号: MB21647
价格 1200
货期 现货(1-2个工作日)
25ug 50ug 100ug 200ug
No. :MB21647
Product Name :AlCAM monoclonal antibody
Swiss-Prot :Q13740
Host :Mouse
Reactivity :Human
Applications :WB,IHC
Application_all :WB:1/500 - 1/2000 IHC:1/200 - 1/1000
Background :This gene encodes activated leukocyte cell adhesion molecule (ALCAM), also known as CD166 (cluster of differentiation 166), which is a member of a subfamily of immunoglobulin receptors with five immunoglobulin-like domains (VVC2C2C2) in the extracellular domain. This protein binds to T-cell differentiation antigene CD6, and is implicated in the processes of cell adhesion and migration. Multiple alternatively spliced transcript variants encoding different isoforms have been found.
Product :Purified antibody in PBS with 0.05% sodium azide
Purification&Purity :The antibody was affinity-purified from mouse ascites by affinity-chromatography using epitope-specific immunogen and the purity is > 95% (by SDS-PAGE).
Storage&Stability :Store at 4°C short term. Aliquot and store at -20°C long term. Avoid freeze-thaw cycles.
Specificity :Mouse IgG1
BiowMW :65.1kDa
Note :For research use only, not for use in diagnostic procedure.
Alternative Name :MEMD; CD166; FLJ38514; MGC71733
Immunogen :Purified recombinant fragment of human AlCAM (AA: 405-524) expressed in E. Coli.
Conjugate :Unconjugated
Modification :Unmodification
Western blot analysis using AlCAM mouse mAb against L1210 (1) cell lysate, and Mouse spleen (2) tissue lysate.
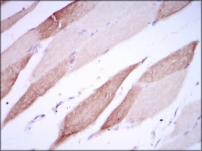
Immunohistochemical analysis of paraffin-embedded human striated muscle tissues using AlCAM mouse mAb with DAB staining.

关注我们

400-660-9091

电话:18013895086

地址:江苏生命科技创新园F6幢1层

订购:nanjing03@biogot.com

服务:biorase01@biogot.com

合作:lvyun@biogot.com

支持:may@biogot.com