中国 EN 400-660-9091

联系我们

电话:18013895086

电话:025-68037686

地址:江苏生命科技创新园F6幢1层

订购:nanjing03@biogot.com

服务:biorase01@biogot.com

合作:lvyun@biogot.com

支持:may@biogot.com

GPC3 monoclonal antibody

货号: MB21623
价格 1200
货期 现货(1-2个工作日)
25ug 50ug 100ug 200ug
No. :MB21623
Product Name :GPC3 monoclonal antibody
Swiss-Prot :P51654
Host :Mouse
Reactivity :Human,Mouse,Rat
Applications :WB,IHC,FCM
Application_all :WB:1/500 - 1/2000 IHC:1/200 - 1/1000 FC:1/200 - 1/400
Background :Cell surface heparan sulfate proteoglycans are composed of a membrane-associated protein core substituted with a variable number of heparan sulfate chains. Members of the glypican-related integral membrane proteoglycan family (GRIPS) contain a core protein anchored to the cytoplasmic membrane via a glycosyl phosphatidylinositol linkage. These proteins may play a role in the control of cell division and growth regulation. The protein encoded by this gene can bind to and inhibit the dipeptidyl peptidase activity of CD26, and it can induce apoptosis in certain cell types. Deletion mutations in this gene are associated with Simpson-Golabi-Behmel syndrome, also known as Simpson dysmorphia syndrome. Alternative splicing results in multiple transcript variants.
Product :Purified antibody in PBS with 0.05% sodium azide
Purification&Purity :The antibody was affinity-purified from mouse ascites by affinity-chromatography using epitope-specific immunogen and the purity is > 95% (by SDS-PAGE).
Storage&Stability :Store at 4°C short term. Aliquot and store at -20°C long term. Avoid freeze-thaw cycles.
Specificity :Mouse IgG1
BiowMW :65.5kDa
Note :For research use only, not for use in diagnostic procedure.
Alternative Name :SGB; DGSX; MXR7; SDYS; SGBS; OCI-5; SGBS1; GTR2-2
Immunogen :Purified recombinant fragment of human GPC3 expressed in E. Coli.
Conjugate :Unconjugated
Modification :Unmodification
Western blot analysis using GPC3 mouse mAb against HepG2 (1), HEK293 (2), Jurkat (3), SK-N-SH (4), PC-12 (5), F9 (6)and Mouse liver (7) cell lysate.
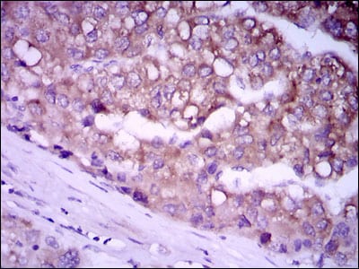
Immunohistochemical analysis of paraffin-embedded human liver cancer tissues using GPC3 mouse mAb with DAB staining.

关注我们

400-660-9091

电话:18013895086

地址:江苏生命科技创新园F6幢1层

订购:nanjing03@biogot.com

服务:biorase01@biogot.com

合作:lvyun@biogot.com

支持:may@biogot.com